113年:醫學五(1)
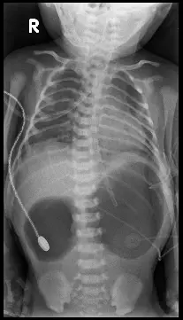
一幼兒因嘔吐求診,腹部X光如圖所示,下列何者為最不可能之鑑別診斷?
A胃蹼(gastric web)
B十二指腸蹼(duodenal web)
C環狀胰(annular pancreas)
D腸道旋轉不良併扭轉(malrotation with volvulus)
詳細解析
本題觀念:
新生兒或嬰幼兒胃腸阻塞時,腹部攝影可見“double bubble sign”,即胃與近端十二指腸雙氣泡擴張,提示第二部十二指腸水平的完全性或近完全性梗阻。其鑑別診斷包含:duodenal atresia、duodenal web、annular pancreas、midgut malrotation with volvulus(Ladd’s bands)等;而gastric web(antral web)則位於幽門部,平片表現與上述duodenal obstruction不同。
影像分析:
這張嬰幼兒仰臥腹部AP片,一眼可見:
- 左上腹巨大氣腫泡(胃泡)。
- 胃下方、脊柱右側第二氣泡(擴張的近端十二指腸)。
- 腹腔中下部近乎完全無氣影,無遠端腸道氣體分布。
- 氣管胃管末端在第一氣泡內,符合胃管置入胃部後停留。 此為典型double bubble sign,遠端無氣提示近端完全性梗阻。
選項分析
- 選項A:gastric web
Antral web是胃幽門部粘膜環狀隔膜,造成胃出口(pyloric channel)梗阻。平片多見單一擴張胃泡(single bubble)並伴gasless abdomen;不會出現第二氣泡代表近端十二指腸擴張的double bubble pattern([pubmed.ncbi.nl
...(解析預覽)...
![醫師[2] - 小兒消化道與膽道外科 - AI 圖文解析預覽](/_next/image?url=https%3A%2F%2Fbgvxfcrmbdvefjhuvrmt.supabase.co%2Fstorage%2Fv1%2Fobject%2Fpublic%2Fvisual-explanations%2F184%2F6910_tdf0f85bb.webp&w=3840&q=75)
升級 VIP 解鎖圖文解析