115年:醫學五(1)
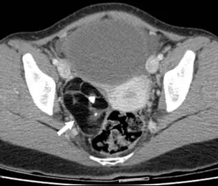
35歲女性病人主訴下腹疼痛,超音波檢查發現疑似右側卵巢腫塊,電腦斷層檢查呈現如圖,箭號所示最有可能的診斷為何? 
Adermoid cyst
Bendometrioma
Ctheca lutein cyst
Dcystadenocarcinoma
詳細解析
本題觀念:
本題考查卵巢腫瘤的影像學鑑別診斷,特別是電腦斷層(CT)上不同組織特性的辨識。核心觀念在於識別**脂肪組織(Fat)與鈣化(Calcification)**在骨盆腔腫塊中的表現,這是診斷成熟畸胎瘤(Mature Cystic Teratoma, 即 Dermoid cyst)的病理特徵(Pathognomonic sign)。
影像分析:
- 檢查方式:這是一張骨盆腔的軸位(Axial)電腦斷層(CT)影像。
- 解剖位置:
- 前方可見充滿尿液的膀胱(Bladder)。
- 中央偏右側可見子宮(Uterus)。
- 病灶位置:在子宮的右側(影像左側),有一個邊界清楚的囊性腫塊(Cystic mass)。
- 病灶特徵:
- 脂肪密度(Fat attenuation):箭頭所指的區域呈現非常低密度的黑色影像。在 CT 上,這種「比肌肉黑、比水黑」,但略高於空氣(Air)的密度,是脂肪的典型表現(CT值約 -50 到 -100 HU)。
- 鈣化點(Calcification):腫塊內部或邊緣可見極高密度(白色)的亮點,這代表鈣化、牙齒或骨骼組織。
- 液平面(Fluid-fluid level):脂肪與液體混合可能形成分層,稱為脂液平面(Fat-fluid level)。
- 綜合判讀:卵巢腫瘤內同時出現「肉眼可見的脂肪(Macroscopic fat)」與「鈣化/牙齒」,是**Dermoid cyst(皮樣囊腫 / 成熟畸胎瘤)**的典型影像特徵。
選項分析
- A. dermoid cyst (皮樣囊腫 / 成熟畸胎瘤):正確。
- 病理機制:源自生殖細胞(Germ cell),包含三個胚層的組織(外胚層如皮膚、毛髮、牙齒;中胚層如脂肪、骨骼)。
- 影像特徵:CT 上看到**脂肪密度(Fat attenuation)**是診斷的黃金標準(Diagnostic),且常伴隨鈣化(牙齒)或 Rokitansky nodule(皮樣瘤栓)。本題影像完美符合此特徵。
- B. endometrioma (子宮內膜異位瘤 / 巧克力囊腫):錯誤。
- 病理機制:子宮內膜組織異位至卵巢,反覆出血形成囊腫。
- 影像特徵:CT 上通常呈現均質的高密度囊液(High-attenuation fluid),反映其內部陳舊性積血(Hemorrhage),CT值通常在 40-60 HU 甚至更高(看起來是灰色,比尿液白,比肌肉黑)。絕不會包含脂肪,且鈣化較少見(除非壁上有陳舊鈣化)。
- C. theca lutein cyst (濾泡膜黃體囊腫):錯誤。
- 病理機制:因高濃度 hCG 刺激(如葡萄胎、絨毛膜癌或排卵藥物OHSS)導致的雙側功能性囊腫。
- 影像特徵:典型表現為雙側(Bilateral)、多房性(Multiloculated)、薄壁的單純水密度囊腫(Water density)。與本題單側、含脂肪的複雜腫塊不符。
- D. cystadenocarcinoma (囊腺癌):錯誤。
- 病理機制:卵巢上皮細胞惡性腫瘤。
- 影像特徵:通常表現為複雜性囊實性腫塊(Complex cystic-solid mass),伴隨厚且不規則的間隔(Septa)、實質軟組織結節(Solid nodule/Papillary projection)及腹水(Ascites)。雖然可能有鈣化(沙粒體 Psammoma bodies),但通常不含脂肪(除非是極罕見的惡性畸胎瘤或包含脂肪的碰撞瘤,但機率極低)。
答案解析
本題的診斷關鍵在於箭頭所指的脂肪成分。在年輕女性(35歲)的卵巢腫塊中,發現脂肪密度(Fat density)幾乎可以確診為良性的成熟囊性畸胎瘤(Mature Cystic Teratoma),也就是俗稱的 Dermoid cyst。影像中清晰的脂肪(黑色區域)與鈣化點排除了單純囊腫、巧克力囊腫(高密度液體無脂肪)及一般的上皮性卵巢癌。
核心知識點
- Dermoid Cyst (Teratoma) 診斷口訣:Fat is the key! 只要在卵巢腫塊 CT 看到脂肪密度,第一診斷即為 Dermoid cyst。
- 常見卵巢囊腫 CT 密度比較:
- Simple Cyst / Theca Lutein Cyst:水密度 (0-20 HU)。
- Endometrioma / Hemorrhagic Cyst:高密度液體/血 (40-60+ HU),均質,無脂肪。
- Dermoid Cyst:脂肪密度 (-50 to -100 HU),不均質,常含鈣化。
- Cystadenocarcinoma:複雜囊實性,實質部分會顯影 (Enhancement)。
參考資料
- Radiopaedia: Mature cystic ovarian teratoma
- Ovarian teratoma (dermoid cyst) CT findings - CTisus