114年:內專

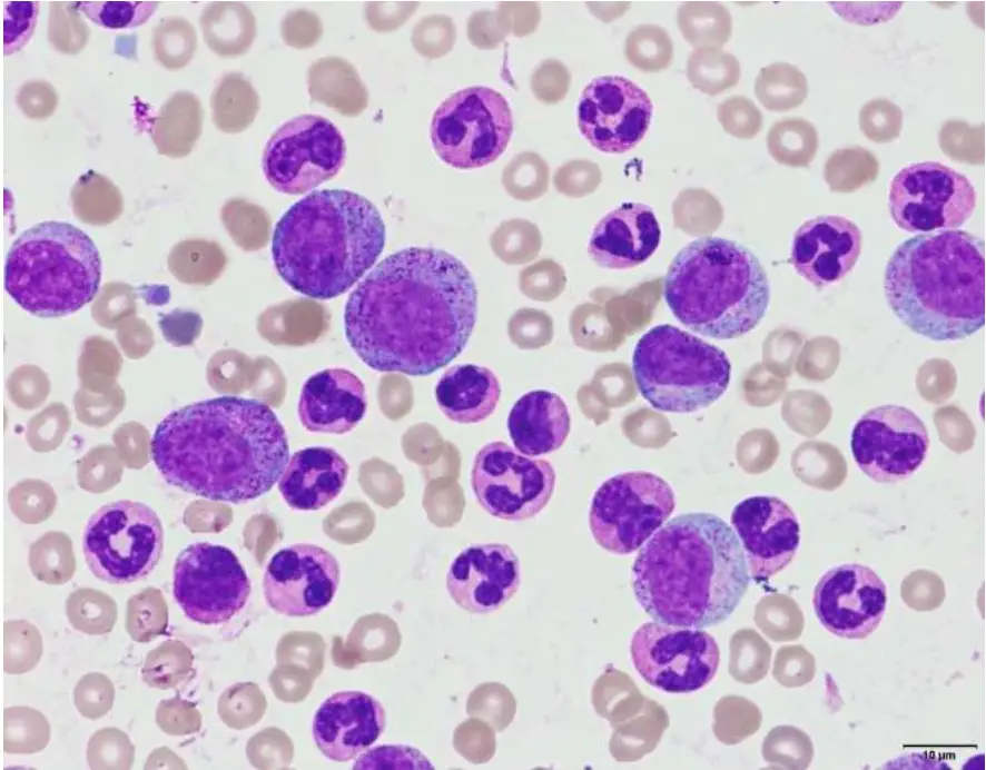
一位50歲婦人因為左上腹脹痛求診,血液檢查顯示Hb 10.5 gm/dL,WBC 322380/μL,血小板156 K/μL;血液抹片如圖所示。此病人最可能的診斷為? 圖片描述

AAcute myeloid leukemia。
BAcute lymphoblastic leukemia。
CChronic myeloid leukemia。
DChronic myelomonocytic leukemia。
EChronic neutrophilic leukemia。

詳細解析

本題觀念:

本題考查慢性骨髓性白血病 (Chronic Myeloid Leukemia, CML) 的典型臨床表現與血液抹片判讀。核心概念在於辨識骨髓增生性腫瘤 (MPN) 的特徵:極度升高的白血球數值 (Hyperleukocytosis)、脾腫大 (Splenomegaly) 以及周邊血液抹片中見到各階段成熟中的顆粒球 (Full spectrum of myeloid maturation)

影像分析:

依據題目提供的血液抹片影像與臨床數據進行分析:

  1. 視野特徵 (Overview):影像是周邊血液抹片,背景可見紅血球。最顯著的特徵是白血球數量極多 (Hyperleukocytosis),與題目中 WBC 322,380/μL 的數值相符。
  2. 細胞型態 (Cell Morphology)
    • 視野中充滿了不同成熟階段的骨髓系細胞,呈現連續性的成熟光譜。
    • Segmented neutrophils & Bands:可見成熟的分葉核嗜中性球與帶狀核球。
    • Immature Granulocytes:可見大量未成熟的細胞,包括 Myelocytes (骨髓球)Metamyelocytes (後骨髓球)。Myelocytes 通常細胞較大,核呈圓形或橢圓形,細胞質含有顆粒;Metamyelocytes 核呈腎形或豆形。
    • Blasts (芽細胞):雖然可能有少量 Myeloblasts 或 Promyelocytes,但並非主要細胞群(通常 <20%),這與急性白血病不同。
  3. 鑑別特徵:這種同時出現從最不成熟到完全成熟的各階段細胞(特別是 Myelocyte 的比例顯著增加,稱為 "Myelocyte bulge"),且沒有「白血病裂孔 (Leukemic Hiatus)」,是 CML 的病理特徵。此外,CML 抹片中常可見到嗜鹼性球 (Basophils) 增加。

選項分析:

  • (A) Acute myeloid leukemia (AML):錯誤。AML 的診斷標準是周邊血液或骨髓中 Blast count > 20%。抹片通常會顯示「白血病裂孔 (Leukemic Hiatus)」,即只有很不成熟的 Blasts 和很成熟的細胞,中間階段缺乏。此外,AML 病人通常伴隨血小板低下 (Thrombocytopenia),而本題病人血小板正常 (156k)。
  • (B) Acute lymphoblastic leukemia (ALL):錯誤。ALL 以 Lymphoblasts 為主,這些細胞核質比高、染色質緻密。本題影像顯示的是骨髓系 (Myeloid) 的分化過程,且同樣不符合 ALL 的臨床特徵(如血小板通常低下)。
  • (C) Chronic myeloid leukemia (CML)正確
    • 臨床表現:左上腹脹痛提示脾腫大 (Massive Splenomegaly),這是 CML 常見體徵。
    • 檢驗數據:WBC 高達 30 萬以上極為典型(CML 常見 WBC > 100k)。血小板數值正常或輕微升高(本題為 156k,屬正常範圍),符合 CML 慢性期表現。
    • 抹片特徵:如影像所示,呈現完整的骨髓球系成熟光譜 (Full spectrum of granulocytic maturation),這是 CML 的標誌性特徵。
  • (D) Chronic myelomonocytic leukemia (CMML):錯誤。CMML 的診斷必要條件是持續性的單核球增多症 (Monocytosis, >1×10⁹/L 且佔 WBC >10%)。抹片中應見到大量 Monocytes 或 Promonocytes,而非本題顯示的以 Neutrophil lineage 為主的各階段細胞。
  • (E) Chronic neutrophilic leukemia (CNL):錯誤。CNL 是一種罕見的 MPN。其特徵雖然也是白血球增加,但抹片中絕大多數 (>80%) 應為成熟的分葉核嗜中性球 (Segmented neutrophils) 或帶狀核球 (Bands)。未成熟前驅細胞 (如 Myelocytes, Promyelocytes) 在 CNL 中非常少見 (<10%),與本題影像中充滿大量未成熟 Myelocytes 的表現不符。

答案解析:

此題為典型的 Chronic Myeloid Leukemia (CML) 案例。 診斷依據總結:

  1. 極度升高的白血球 (WBC > 300k):強烈指向 CML 或極高白血球的急性白血病。
  2. 左上腹痛 (脾腫大):CML 病人因髓外造血常有巨脾。
  3. 血小板正常:排除了大多數急性白血病 (AML/ALL 通常血小板低)。
  4. 血液抹片:顯示了骨髓系細胞的完整成熟階段 (Full maturation spectrum),特別是 Myelocyte 與 Metamyelocyte 的比例增加,這是 CML 與急性白血病(以 Blasts 為主)及 CNL(以成熟 Neutrophils 為主)最重要的鑑別點。

因此,最可能的診斷為 (C) Chronic myeloid leukemia

核心知識點:

  1. CML 特徵三部曲:Leukocytosis (常 >100k)、Splenomegaly、Basophilia。
  2. CML 抹片關鍵Left shift with full spectrum of maturation (Myelocyte bulge)。
  3. 遺傳學標記:95% 以上病例具有 Philadelphia chromosome (費城染色體),即 t(9;22)(q34;q11) 轉位,形成 BCR::ABL1 融合基因。
  4. 治療:Tyrosine Kinase Inhibitors (TKI) 為第一線治療(如 Imatinib, Dasatinib, Nilotinib)。
  5. 鑑別診斷 - 類白血病反應 (Leukemoid Reaction)
    • WBC 通常 < 50-100k。
    • NAP (Neutrophil Alkaline Phosphatase) score 升高 (CML 則降低)。
    • 無 Basophilia,無 Ph chromosome。

參考資料

  1. CML - ASH Image Bank
  2. Harrison's Principles of Internal Medicine, 21st Ed. Chapter on Chronic Myeloid Leukemia.
  3. WHO Classification of Haematolymphoid Tumours (5th ed, 2022).