113年:內專

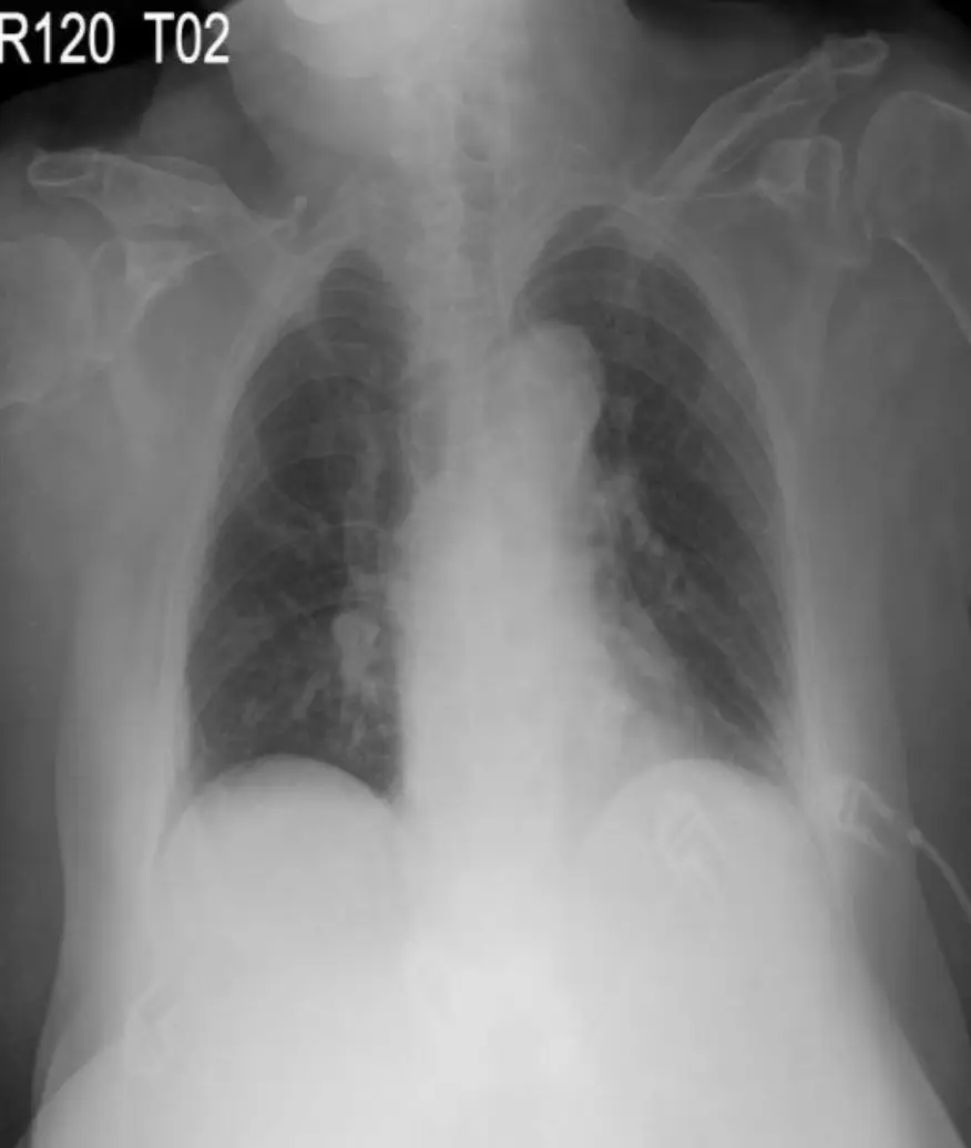
女性病人83歲因胸悶多達一小時,未有舒緩,乃前往急診求醫,曾在2018及2019年有兩次腦中風,以致 微有跛行,病人身體質量指數BMI在31.5 kg/m²,又有高血壓及高血脂十數年,服藥治療中。檢查所見: 血 壓:144/88 mmHg; 心跳:90/min,心臟大小及心音尚無異常,其他所見均屬正常。血液檢驗進展中,唯心 電圖及胸部X光,如圖。請問病人此刻的診斷,最可能是? 圖片描述 圖片描述

A正常心臟。
B心絞疼。
C左前下枝阻塞的急性心肌梗塞。
D右冠脈阻塞的急性心肌梗塞。
E左迴旋枝阻塞的急性心肌梗塞。

詳細解析

本題觀念:

本題考察急性心肌梗塞的心電圖定位,特別是下壁(inferior wall)梗塞時,如何依據ST段在不同導程的變化分辨獨立的冠狀動脈病灶:右冠狀動脈(RCA)、左迴旋支(LCx)或遠端左前降支(LAD 分支)。

影像分析:

  1. 心電圖

    • 在下壁導程 II、III、aVF 明顯出現 ST 段抬高,其中以 III 導程抬高幅度大於 II。
    • 對側導程 I、aVL 可見輕度 ST 段下移(reciprocal change)。
    • 右胸導程 V1 亦呈現輕微 ST 抬高,但 V2–V6 未見明顯 ST 抬高。
    • 心率約 90 次/分鐘,未見明顯 Q 波或心律不整。

    以上變化符合典型的急性下壁 STEMI(ST-elevation MI),並提示右向的電流矢量,代表病灶可能在右側心室或由右冠狀動脈供應的區域受到缺血傷害。(litfl.com)

  2. 胸部 X 光

    • 心影大小正常,心臟輪廓無顯著擴大。
    • 肺野清晰,未見肺充血或肺水腫徵象。
    • 無主動脈撕裂或其他急性胸部病變影像。

    正常的胸部 X 光排除急性心衰(如肺水腫)或主動脈夾層,以支持心肌梗塞的診斷與定位,而非其他胸悶原因。

選項分析

  • 選項 A 正常心臟。
    心電圖已有明顯 ST 段抬高與互動性變化,不可能為正常。

  • 選項 B 心絞痛。
    穩定或不穩定心絞痛雖可有胸悶,但心電圖 ST 段變化通常於症狀緩解後恢復,不會持續性出現明顯 ST 抬高;且胸部 X 光亦無心衰徵象,不符。

  • 選項 C 左前下枝阻塞的急性心肌梗塞(anterior septal/distal LAD)。
    LAD 病灶主要出現在前胸導程 V1–V4,會有 V1–V3 顯著 ST 抬高,並伴隨 V2–V4 出現 Q 波或 T 波變化。此例下壁導程受累,非前壁,故排除。

  • 選項 D 右冠狀動脈阻塞的急性心肌梗塞。
    典型下壁 STEMI 表現為 II、III、aVF ST 抬高,且 III > II;同時出現 I、aVL 方向相反的 ST 下移,ST 向量更偏右與下;加上 V1 輕度抬高提示右心室波及,都符合 RCA 近段或遠段阻塞所致下壁及右心室梗塞。(ahajournals.org, ecgbook.com)

  • 選項 E 左迴旋枝阻塞的急性心肌梗塞。
    LCx 阻塞造成下壁梗塞時,ST 抬高在 II、III、aVF,但抬高幅度 II ≈ III,且常見側壁導程 I、aVL、V5-6 輕度 ST 抬高,並不會有顯著 I、aVL 方向的 ST 下移;此例與之不符。

答案解析

病人心電圖在下壁導程 II、III、aVF 出現急性 ST 段抬高,且 III 裡抬高大於 II、伴隨 I、aVL 的 ST 下移,顯示電流矢量朝向右下方,符合右冠狀動脈(RCA)支配下壁及右心室的血管區域。胸部 X 光排除其他非心肌梗塞疾病後,診斷為右冠狀動脈阻塞所致的急性下壁心肌梗塞最為符合,故選 D。

臨床重要性

下壁 STEMI 若合併右心室梗塞易引發嚴重低血壓及心原性休克,給予硝酸鹽要特別謹慎;需補液支持及儘速進行經皮冠狀動脈介入治療(PCI)。急性下壁梗塞時右側胸導程(V4R)能增進診斷敏感度,臨床中應早期取得。