112年:內專
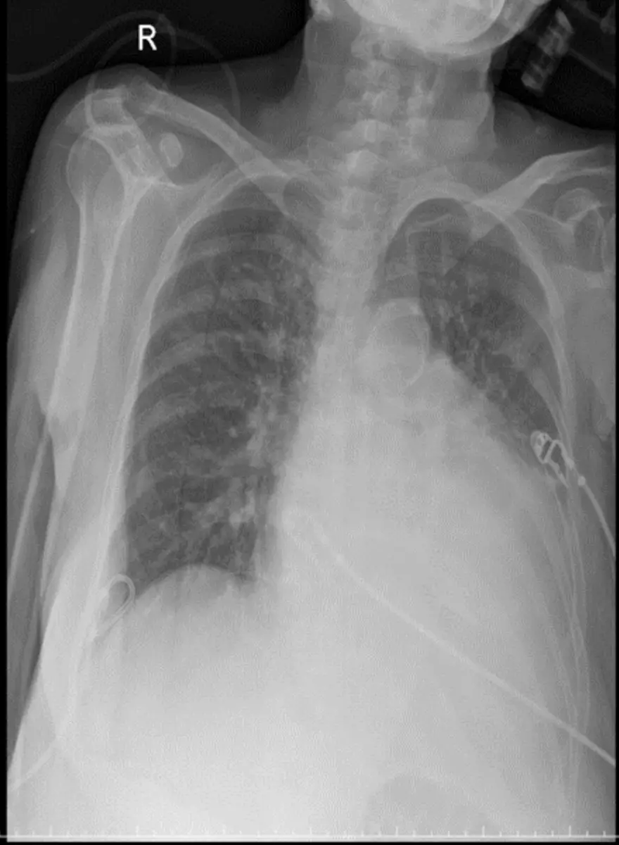
病人74歲家庭主婦有全身倦怠及呼吸困難數天之久,事實上,2個月前先有肺炎及心衰住院治療,出院後 未久,違囑斷續用藥,以致水腫及間歇性呼吸困難日漸沈重,求診時,BT:36.2℃, PR:76/min, RR:30/min, BP:80/48mmHg, SpO₂:86%, E2V2M4. 頸靜脈怒張,心尖脈動左傾,心尖處有Gr3/6 Pansystolic murmur及S3 gallop (+), 雙肺濕性呼吸聲。其他尚無異常所見。其CXR及ECG如附圖: 請問下列何種處置,不正確?
AIV Dopamine。
BIV Amiodarone。
CIV Digoxin。
DIV Vasolilator。
ESC Enoxaparin 60 mg BID。
詳細解析
本題觀念:
病人呈現典型的「cold and wet」(低灌注併肺水腫)急性失代償性心衰與輕度心源性休克,核心在於:
- 依據血壓及組織灌注狀態選擇適當藥物,低血壓(SBP <90–100 mmHg)不宜使用血管擴張劑,須以正性肌力藥(inotropes)或升壓藥維持灌注。
- 心房顫動或心室性心率不整時,Digoxin 與 Amiodarone 為可考慮的抗心律失常藥物,其餘 class I/III 藥物易惡化心衰。
- 住院病患因臥床及心衰本身易合併深層靜脈血栓形成(DVT),宜給予 LMWH 作預防。
影像分析:
-
心電圖(ECG):
- QRS 波形式接近正常窄波,無持續性室性頻脈,但可見偶發室性早搏。P 波不規則,但心室率約 76/min,符合心房顫動伴節律控制〈Digoxin 或 Amiodarone 適用情境〉。
- 前胸導程(V3–V6)呈現廣泛性 ST 段下凹與 T 波倒置,顯示可能的全心肌缺血或代償後反映,常見於重度左心衰竭時心肌供需失衡。
-
胸部 X 光:
- 心影增大,雙肺下葉廣泛性浸潤影、胸水徵象(肺紋理增粗、胸膜輕度積液),符合肺水腫。
- 硬體導管影(中央靜脈導管或 Swan–Ganz 導管)置放於右肺附近,顯示已經監測或支援血流動力。
選項分析
- 選項A
...(解析預覽)...

升級 VIP 解鎖圖文解析