111年:內專
一位急性腹痛患者,在急診處接受腹部電腦斷層檢查,結果如圖,下列敘述,何者正確?
A此病發生率呈增加趨勢。
B超過八成的患者可發現糞石(fecalith)。
C一半以上患者身體檢查出現psoas sign。
D年老患者易有非典型表現。
E治療以內科保守性方式為主。
詳細解析
本題觀念:
急性闌尾炎的臨床影像診斷、流行病學數據及不同年齡層(尤其高齡者)之表現差異
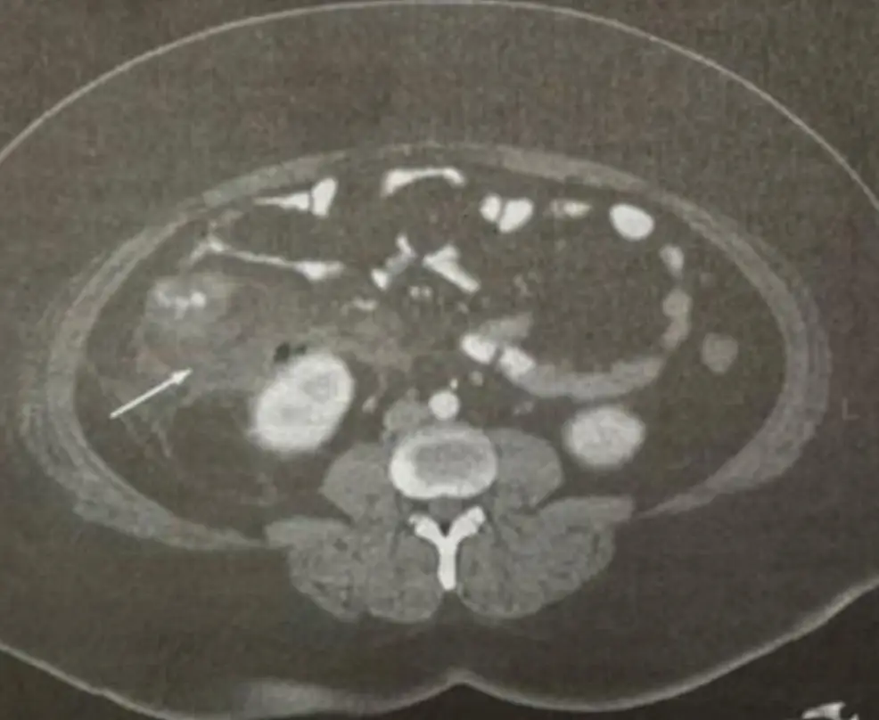
影像分析:
從所提供的腹部橫斷面電腦斷層(CT)可見,右下腹部出現一條直徑超過6毫米、壁明顯增厚、管腔內或周圍可見脂肪組織濃密度增加(fat stranding)的蠕蟲狀結構;這些變化正是acute appendicitis的典型影像學特徵。箭頭處指向之即為發炎的闌尾,周圍脂肪組織的條狀高密度改變與闌尾壁增厚合併,提示急性發炎反應。
選項分析
- 選項A 此病發生率呈增加趨勢。
雖全球某些新興工業化國家在近二十年出現發病率增加,但西方高所得國家自20世紀中葉以來發病率已趨於穩定,並非普遍呈持續上升。(journals.lww.com, [bmcgastroenterol.biomedcentral.com](https://bmcgastroenterol.biomedcentral.com/articles/10.1186/s12876-023-02678-7?utm_so
...(解析預覽)...

升級 VIP 解鎖圖文解析