111年:內專
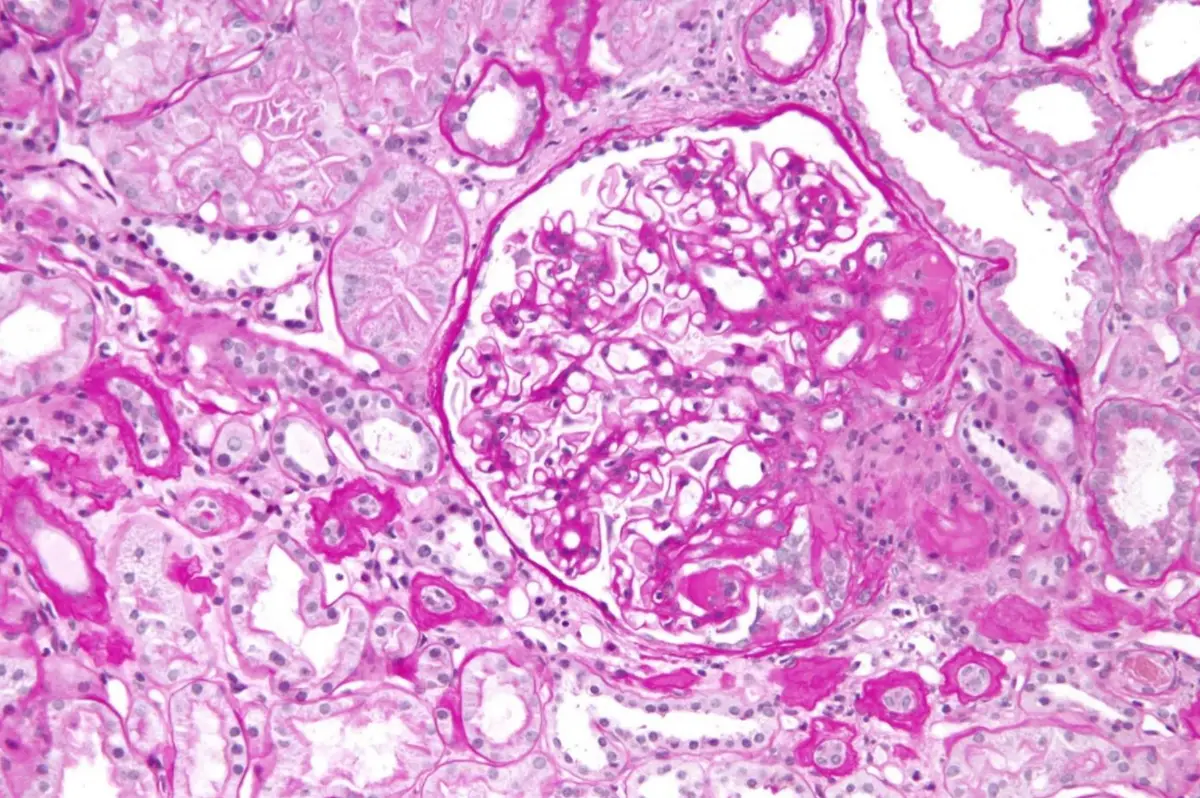
一名4 8歲的肥胖女性,有 5 年的輕度高血壓病史,使用鈣離子通道阻斷劑(Calcium-channel Blockers)控 制,在她每年的健康檢查時,尿試紙上顯示有蛋白尿。體格檢查顯示身高 167.6 公分,體重 91 公斤,血 壓 130/80 毫米汞柱,頸靜脈壓升高,第四心音和微量足部水腫。實驗室數值如下: • 血清肌酐:0.9mg/dL; eGFR:79 毫升/分鐘 • BUN:18 毫克/分升 • 尿液分析:pH 5.0;比重1.018;蛋白質 3+; 沒有葡萄糖;透明圓柱體(Hyaline cast) • 尿液 PCR(protein-creatinine ratio):5.9 g/g 腎臟切片結果顯示 60% 的腎絲球,在光學顯微鏡下有節段性瘢痕,其餘的腎小球看起來沒有明顯變 化(圖1)。最可能的診斷是什麼?
A高血壓性腎硬化。
B局部節結性腎絲球硬化症。
C微小性腎病變。
D膜性腎病變。
E新月型腎絲球腎炎。
詳細解析
本題觀念:
本題探討成人肥胖合併輕度高血壓病史病人出現腎病症候群(nephrotic syndrome),並以腎組織切片光學顯微鏡下「部分但非全部腎絲球出現節段性硬化」的病理改變做為診斷依據,需區分常見的腎小球疾病,如 FSGS、微小病變、膜性腎病變等。
影像分析:
從光學顯微鏡的組織切片可見:
- 部分腎絲球(約60%)出現局部、節段性的胞外基質增生與硬化,毛細血管腔被粉紅色纖維狀組織取代,形成節段性疤痕(segmental sclerosis)
- 同一視野中仍有正常外觀的腎絲球(focal),顯示病變並非全體腎絲球同步受累
- 染色呈現節段性透明質滲出(hyalinosis),可見同時有基質沉積,使得部分毛細血管閉塞
- 周邊小動脈未見明顯玻璃樣變(hyaline arteriolosclerosis)或中膜肥厚,與典型高血壓性腎硬化不同
上述病理特徵符合「局部節段性腎絲球硬化症」(FSGS)所見,極具診斷提示意義。
選項分析
- 選項A 高血壓性腎硬化
慢性良性高血壓性腎硬化主要累及預小動脈,光鏡下可見動脈中膜肥厚、玻璃質變、全腎絲球萎縮性硬化(global sclerosis)及周圍間質纖維化,呈現較普遍的腎單位損傷,不以部分節段性病灶為主,且病程常伴隨腎功能逐漸下降([ajkd.org](https://www.aj
...(解析預覽)...

升級 VIP 解鎖圖文解析