109年:內專
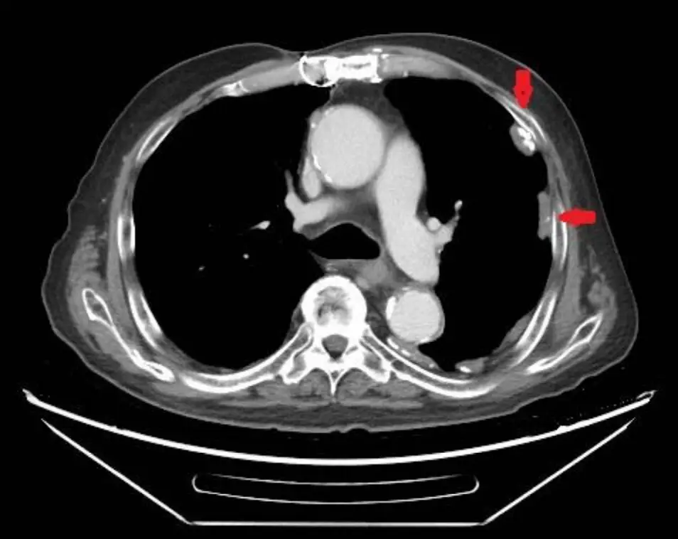
72歲海軍退休輪機士官長,長年在軍艦輪機房工作。最近因為喘,在門診就診,胸部X光異常,於是接受 胸部電腦斷層檢查如附圖,下列何者敘述為是? (1) 電腦斷層顯示為胸膜斑(pleural plaques) (2) 與工作環境息息相關 (3) 不會引起肺癌 (4) 與胸腔間皮瘤高度相關 (5) 抽煙對於癌症的發生率不會有加成效果
A(1)+(2)+(3)
B(2)+(3)+(4)
C(3)+(4)+(5)
D(1)+(2)+(4)
E(1)+(2)+(5)
詳細解析
本題觀念:
Asbestos 暴露造成的胸膜斑(pleural plaques)為最常見且良性的石棉相關胸膜病變,影像出現後常代表過去有長期或高度石棉暴露史。胸膜斑本身不會惡變,但卻是日後罹患 malignant pleural mesothelioma 與 asbestos-related lung cancer 的重要危險訊號;此外,石棉與吸菸在肺癌風險上存在加成/協同作用。
影像分析:
電腦斷層橫切面可見左右肋胸壁內側呈桌狀、沿壁層胸膜分布之高密度局灶鈣化,亦沿葉間裂與橫膈頂端見類似鈣化板狀陰影;肺實質並未見結節或間質性纖維化。典型「桌板狀」(table-like)鈣化、位於壁層胸膜而非肺葉間,是石棉相關胸膜斑的經典影像特徵,支持良性石棉性胸膜病變的診斷。
選項分析
-
選項A (1)+(2)+(3)
(1) 正確—影像典型胸膜斑。
(2) 正確—海軍輪機室為高石棉暴露環境。
(3) 錯誤—石棉暴露明顯升高肺癌風險,而且石棉與吸菸對肺癌有加成效果;雖然「斑」本身不惡變,但不能說「不會引起肺癌」。 -
選項B (2)+(3)+(4)
含有錯誤的 (3),故排除。 -
選項C (3)+(4)+(5)
同時包含錯誤 (3) 與 (5),排除。 -
選項D (1)+(2)+(4)
(1) 正確;(2)
...(解析預覽)...

升級 VIP 解鎖圖文解析