112年:專師內科
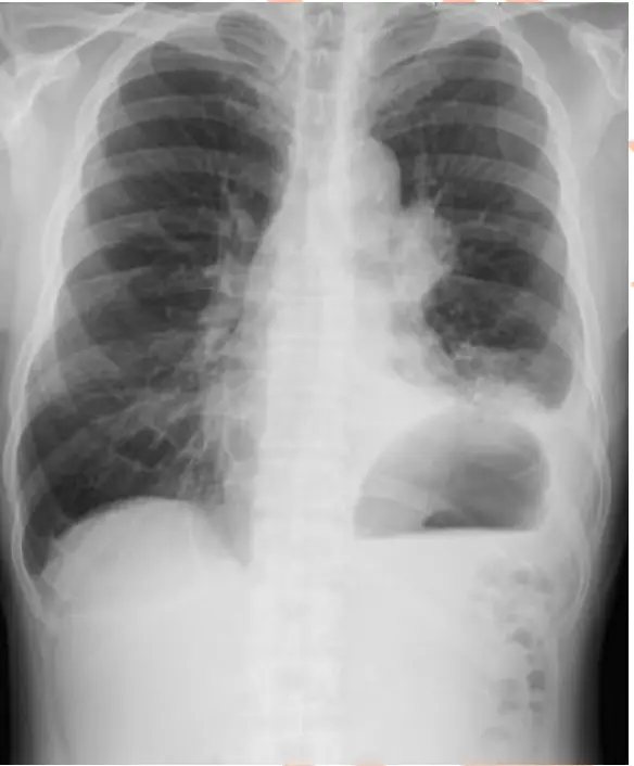
某位確診為肺癌病人,圖(七)為其胸部X光。表示病人的腫瘤有可能侵襲到某些神經並引發相關症狀,此病人最可能出現下列哪些症狀?
A左眼瞼下垂、左眼瞳孔縮小、左邊臉部不會流汗
B活動時呼吸喘促
C持續失聲超過三週
D左肩痛、左臂痛
詳細解析
本題觀念:
肺癌侵犯不同胸腔內神經(phrenic nerve、sympathetic chain、recurrent laryngeal nerve、brachial plexus)所產生的典型症狀,可由胸部X光所見病灶位置及併發影像表現判斷。
影像分析:
這張胸部X光顯示左側肺門(hilar)區有實質性腫瘤陰影,且左側膈肌高度明顯抬高,較右側明顯偏上。正常情況下,右側膈肌通常略高於左側,若左側膈肌反而抬高,應考慮左側膈肌運動受限或麻痺。此表現提示左側phrenic nerve(支配膈肌主要的運動神經)可能被腫瘤侵襲,導致左側膈肌功能喪失。
選項分析
- 選項A 「左眼瞼下垂、左眼瞳孔縮小、左邊臉部不會流汗」:Horner’s syndrome反映的是交感神經幹在肺頂受侵犯(Pancoast tumour常見),與phrenic nerve無關,且臨床影像並未顯示肺尖,故不符。
- 選項B 「活動時呼吸喘促」:phrenic nerve受損造成對側膈肌癱瘓,膈肌無法有效收縮,肺活量減少,特別在活動或平臥時會罹呼吸困難、運動誘發性呼吸喘促,與影像所示膈肌抬高吻合。
- 選項C 「持續失聲超過三週」:持續性失聲常因recurrent laryngeal nerve(分布於氣管、食道繞行處)受壓迫所致,X光若是縱隔旁病灶較為合理,但本例病灶在肺門且重
...(解析預覽)...

升級 VIP 解鎖圖文解析