113年:醫學五(2)
46歲女性病人主訴於月經過後下腹部疼痛,尤其右下腹部疼痛約3天,身體診察右下腹部有壓痛現象,右下腹部超音波檢查如圖,最可能的診斷為何?
A子宮發炎(uterus inflammation)
B卵巢膿瘍(ovary abscess)
C闌尾炎(appendicitis)
DCrohn氏症(Crohn's disease)
詳細解析
本題觀念:
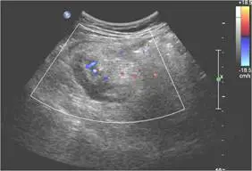
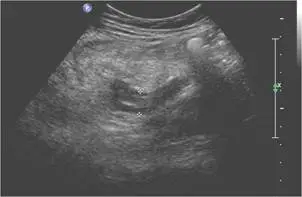
急性闌尾炎的超音波診斷,包括闌尾非壓迫性、管狀盲端構造的測量直徑、壁層結構與周邊超音波徵象,以及使用彩色多普勒判讀血流增生。
影像分析:
- 第一張為右下腹部灰階超音波縱切面,可見一條盲端管狀構造(闌尾),其內外壁清晰,壁層增厚,外徑超過6–7 mm,呈現「target sign」(中心回聲強、外側低迴聲)格局(pmc.ncbi.nlm.nih.gov)。
- 第二張為同一構造的短軸切面,再次確認管腔置換、無蠕動,周邊偶可見少量游離液暗示局部炎性滲出。
- 第三張彩色多普勒影像顯示闌尾壁層明顯血流信號(continuous intramural flow),符合急性闌尾炎高特異性之血管增生表徵(pubmed.ncbi.nlm.nih.gov)。
以上影像符合急性闌尾炎的主要超音波徵象:盲端非蠕動管狀結構、外徑≥7 mm、壁層厚化及周圍炎性回聲增高,並有彩色多普勒顯示之局部高血流。
選項分析
- 選項A 子宮發炎(uterus inflamm
...(解析預覽)...
![醫師[2] - 大腸直腸外科學 - AI 圖文解析預覽](/_next/image?url=https%3A%2F%2Fbgvxfcrmbdvefjhuvrmt.supabase.co%2Fstorage%2Fv1%2Fobject%2Fpublic%2Fvisual-explanations%2F188%2F6731_t7cbdbc1a.webp&w=3840&q=75)
升級 VIP 解鎖圖文解析