112年:醫學三(1)
一位 23歲病人因咳嗽、喉嚨痛吃了兩天藥房買的藥後,突然發現小便呈現暗紅色,尿液檢查潛血反應為陽性,沉澱物中紅血球 0 ~ 2/HPF ,白血球 1 ~ 2/HPF 。抽血檢查顯示血紅素 10.8 g/dL ,網狀紅血球 7.6% ,白血球9,850/μL且分類正常,血小板 178,000/μL ,血球抹片如圖所示。 AST 72 U/L (正常 0 ~ 37 ), ALT 35 U/L (正常0~ 41), LDH 1,080 U/L ,總膽紅素 4.3 mg/dL ,直接型膽紅素 0.8 mg/dL , Coombs test 陰性。病人回憶他小學時亦曾經在服用感冒藥後發生類似狀況,但幾天後就好了,當時並未去看醫生。此病人最可能的診斷為何?
Aautoimmune hemolytic anemia
Bglucose 6-phosphate dehydrogenase ( G6PD ) deficiency
Cacute glomerulonephritis
Dacute hepatitis
詳細解析
本題觀念:
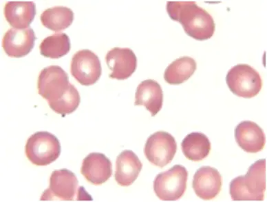
23歲男性在服用非處方感冒藥後出現暗紅色小便,尿液潛血+、尿沉渣紅白血球極少、血紅素下降、網狀紅血球升高、Coombs陰性,外加週邊血抹片出現「咬痕細胞(bite cells)」及「泡狀細胞(blister/“hemi-ghost” cells)」,符合氧化性溶血危機,典型於G6PD缺乏症所致。
影像分析:
週邊血抹片在高倍(×1000)下可見:
- 咬痕細胞(bite cells):紅血球邊緣有半圓形缺損,因脾臟巨噬細胞切除含有Heinz小體的部分胞質所致
- 泡狀細胞(blister/“hemi-ghost” cells):紅血球一側胞質清空、另一側仍殘留血紅素
這些病態紅血球形態變異,是氧化劑造成血紅蛋白變性後,脾臟對含Heinz小體的紅血球剪除胞質形成,最為G6PD缺乏題的典型抹片所見 (pmc.ncbi.nlm.nih.gov)。
選項分析
-
選項A 自體免疫性溶血性貧血(autoimmune hemolytic anemia)通常Coombs試驗陽性,且抹片可見棘狀細胞(spherocytes)多於bite cells,與本例Coombs陰性及典型咬痕細胞不符,因此排除。
...(解析預覽)...
![醫師[2] - 貧血及紅血球疾病 - AI 圖文解析預覽](/_next/image?url=https%3A%2F%2Fbgvxfcrmbdvefjhuvrmt.supabase.co%2Fstorage%2Fv1%2Fobject%2Fpublic%2Fvisual-explanations%2F190%2F7524_t9896f9aa.webp&w=3840&q=75)
升級 VIP 解鎖圖文解析