112年:醫學五(1)
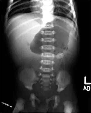
承上題【原本無異狀的 10天大男嬰突然出現膽汁性嘔吐,影像學檢查如圖所示,最有可能的診斷是:】,下列何項檢查對確定診斷最不恰當?

A超音波( ultrasound examination )
B上消化道攝影( upper GI contrast series )
C鋇劑灌腸( barium enema )
D血管攝影( angiography )
詳細解析
本題觀念:
本題核心在於新生兒出現膽汁性嘔吐時,需立即懷疑腸旋轉異常(malrotation)合併中腸扭轉(midgut volvulus)所致之急性腸阻塞。影像學的診斷策略包括下列三種主要方法:超音波(尋找SMA/SMV倒置與“whirlpool sign”)、上消化道鋇劑攝影(upper GI series,診斷malrotation的金標準)與鋇劑灌腸(barium enema,可確認盲腸位置)。相對地,血管攝影(angiography)並非此場合的診斷工具。
影像分析:
病患為10天大男嬰,腹部側位平片可見:
- 上腹部有明顯氣體積聚,呈現類似「雙氣泡(double bubble)」或近端小腸迴盪擴張。
- 遠端腸道氣體稀少,顯示近端阻塞。
- 無明顯游離氣體(排除腸穿孔)。
這些特徵符合高位小腸阻塞,而在新生兒中最顧慮的即是malrotation併發的midgut volvulus。
選項分析
- 選項A 超音波(ultrasound examination)
超音波可非侵入地評估腸系膜動脈(SMA)與腸系膜上靜脈(SMV)位置關係,如發現SMV位於SMA之左側或呈旋渦狀回圈(whirlpool sign),高度提示malrotation及中腸扭轉。適用於初步篩檢與追蹤,但需經驗豐富操作者才能達到高診斷正確性。
...(解析預覽)...
![醫師[2] - 小兒消化道與膽道外科 - AI 圖文解析預覽](/_next/image?url=https%3A%2F%2Fbgvxfcrmbdvefjhuvrmt.supabase.co%2Fstorage%2Fv1%2Fobject%2Fpublic%2Fvisual-explanations%2F192%2F7585_ta4f21b5c.webp&w=3840&q=75)
升級 VIP 解鎖圖文解析