112年:醫學五(2)
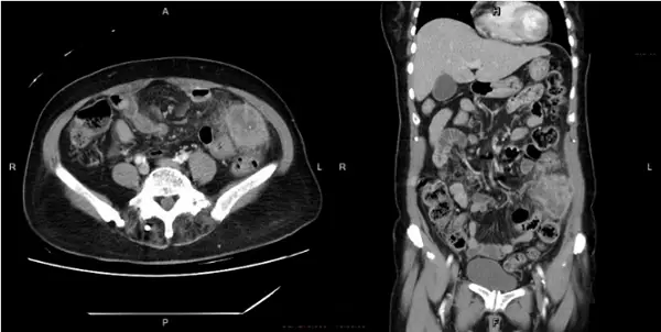
74歲楊女士這一星期來左下腹疼痛越來越厲害到急診求診,其過去病史有糖尿病、高血壓病及大腸憩室炎;急診的生命徵象穩定,但體溫為 38.5℃ ;其他的臨床症狀包括食慾變差( anorexia )、噁心( nausea )及有腹瀉( diarrhea)的情況。理學檢查發現左下腹疑似有摸到硬塊且有壓痛合併局部性的腹膜炎( localized peritonitis)之情形,抽血檢查發現 WBC : 19,310/mm3,neutrophil: 86.1% , CRP : 196 mg/L ,腹部的電腦斷層如附圖,則最可能的診斷為何?
A缺血性腸壞死( ischemic bowel )
B乙狀結腸腸扭轉( volvulus )
C乙狀結腸憩室炎破裂併膿瘍( ruptured sigmoid diverticulitis with abscess )
D空腸腸繫膜膿瘍( jejunal mesenteric abscess )
詳細解析
本題觀念:
74歲高齡患者左下腹持續加劇疼痛、發燒、高白血球、CRP明顯升高,合併既往大腸憩室炎病史,需考慮憩室炎併發症(如膿瘍、破裂)與其他急腹症(腸缺血、腸扭轉、腸系膜膿瘍)之鑑別診斷。
影像分析:
電腦斷層橫斷面與冠狀位皆可見:
- 乙狀結腸位置有明顯壁增厚,且周邊脂肪組織呈模糊混濁(fat stranding),顯示局部發炎反應。
- 結腸外有一大小約4-5 cm的低密度液體病灶,壁緣強化且內含氣泡,看似膿瘍形成。
- 未見明顯閉鎖性氣腸(no obstruction pattern),也無腸管壁氣腫或門脈氣體(排除腸缺血指標)。
- 膿瘍位置緊鄰左下腹乙狀結腸區,符合局限性腹膜炎表現。
這些CT所見符合「pericolic abscess」:周邊有wall-enhancing fluid collection with gas within or adjacent to the inflamed colon (pmc.ncbi.nlm.nih.gov)。
選項分析
- 選項A 缺血性腸壞死(ischemic bowel)
缺血性腸壞死CT典型表現為腸壁環狀增厚、壁層不均勻增
...(解析預覽)...
![醫師[2] - 大腸直腸外科學 - AI 圖文解析預覽](/_next/image?url=https%3A%2F%2Fbgvxfcrmbdvefjhuvrmt.supabase.co%2Fstorage%2Fv1%2Fobject%2Fpublic%2Fvisual-explanations%2F196%2F7254_t7fd45634.webp&w=3840&q=75)
升級 VIP 解鎖圖文解析