113年:醫學三(2)
56歲男性病患,過去有高血壓病史,突然有發燒、嘔吐與腹痛的症狀,緊急安排了電腦斷層檢查影像如附圖,下列何者為最可能的診斷?
A盲腸炎(acute appendicitis)
B主動脈剝離(aortic dissection)
C上腸繫膜靜脈血栓(superior mesenteric vein thrombosis)
D大腸憩室炎(colonic diverticulitis)
詳細解析
本題觀念:
探討mesenteric venous栓塞造成的腸道灌流障礙。上腸繫膜靜脈(SMV)血栓會導致回流受阻、小腸壁水腫與mesenteric fat stranding,臨床表現非特異,需仰賴contrast-enhanced CT診斷。
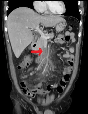
影像分析:
冠狀位增強CT掃描中,紅色箭頭所指為superior mesenteric vein主幹及其多條分支,內見中心低密度充填缺損,周邊血管壁呈環狀增強。小腸壁輕度增厚,周圍mesenteric fat stranding明顯,代表靜脈回流阻塞所致水腫與發炎。未見主動脈內膜剝離徵象,也無盲腸或結腸局部憩室病變,影像特徵高度指向SMV栓塞。
選項分析
- 選項A 盲腸炎:典型為盲腸管徑>6mm、壁增厚及周圍脂肪濃度增高,病灶集中於右下腹;本影像重點在SMV主幹,未見盲腸增粗或盲腸周邊典型改變,故排除。
- 選項B 主動脈剝離:需見主動脈內膜剝離或偽腔形成,影像焦點為肝門下SMV區域,且無主動脈病變,與所見不符。
- 選項C 上腸繫膜靜脈血栓:符合SMV充填缺損、中心低密度、周邊環狀增強,並伴mesenteric fat stranding、小腸壁水腫;病人嘔吐、發燒、腹痛亦為SMVT高頻臨床表現,為最佳診斷。
- 選項D 大腸憩室炎:CT上可見結腸憩室、局部壁增厚及周圍脂肪濃度增高,位置多在乙狀
...(解析預覽)...
![醫師[2] - 膽道、胰臟及消化道其他 - AI 圖文解析預覽](/_next/image?url=https%3A%2F%2Fbgvxfcrmbdvefjhuvrmt.supabase.co%2Fstorage%2Fv1%2Fobject%2Fpublic%2Fvisual-explanations%2F186%2F6735_t63467b79.webp&w=3840&q=75)
升級 VIP 解鎖圖文解析