111年:醫學五(1)
23歲男性,主訴吞嚥困難與經常性吸入性肺炎,上消化道鋇劑攝影檢查如下圖,最有可能的診斷為:
Aachalasia
Bgastroesophageal reflux disease ( GERD )
Cgastric lymphoma
Dhiatal hernia
詳細解析
本題觀念:
這題核心在辨識食道運動障礙中,因下食道括約肌(LES)無法適當放鬆而導致食道擴張、食物停滯及返流,進而引發吞嚥困難和吸入性肺炎的典型表現──achalasia(賁門失弛緩症)。
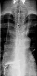
影像分析:
第一張為病患胸部正側位X光,顯示後縱膈可見持續性食道影增寬,並伴有水平的氣液平面,提示食道内容物長期滯留。第二張為上消化道鋇劑攝影(barium swallow)正位像,可見:
- 食道全長明顯擴張,内有鋇劑及殘餘食物碎屑停滯。
- 食道遠端在胃食道交界處呈現平滑、對稱的逐漸狹窄形態,形似鳥喙(bird’s beak)。
- 狹窄處下方鋇劑通過受阻,滯留時間長。
這些特徵與achalasia的典型鋇劑攝影表現相符:食道擴張加鳥喙狀狹窄,LES無法放鬆導致排空困難(radiologica.org)。
選項分析
- 選項A achalasia
與影像所見高度吻合:食道擴張、鳥喙狀狹窄、滯留及吞嚥障礙;臨床上亦可造成食物反流以及吸入性肺炎的高風險([abdominalkey.com](https://abdominalkey.com/achalasia/?utm_source=op
...(解析預覽)...
![醫師[2] - 上消化道外科(食道與胃) - AI 圖文解析預覽](/_next/image?url=https%3A%2F%2Fbgvxfcrmbdvefjhuvrmt.supabase.co%2Fstorage%2Fv1%2Fobject%2Fpublic%2Fvisual-explanations%2F200%2F8323_t3835c9d7.webp&w=3840&q=75)
升級 VIP 解鎖圖文解析