109年:醫學三(1)
50 歲男性主訴胸痛和咳嗽,胸部影像如圖,則最可能的診斷為下列何者?
A肺癌
B侷限性肋膜積液
C葉間積液( interlobar effusion )
D肺動脈栓塞( pulmonary embolism )
詳細解析
本題觀念:
區分肺內實質性病灶(如肺癌)與胸膜腔積液(含葉間或局限性積液)之放射影像特徵,並以CT密度判別液體(接近水,約0–20 HU)或實質(軟組織,約30–60 HU)為主要思路。
影像分析:
-
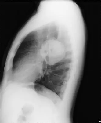
正位胸部X光片(PA)
- 右下肺野可見一圓形致密度增高陰影,邊緣平滑,形態規則,與心臟或橫膈呈分界簽(silhouette)現象不明顯,顯示可能位於肺實質內;非典型的弧形彎月面(meniscus)或楔形模糊,排除大範圍游離積液或次膈下積液。
-
側位胸部X光片
- 該陰影位於後基底部,投影方向圓形,並非沿肺葉間裂而呈雙凸透鏡狀(lenticular)的葉間積液假腫瘤(pseudotumor)特徵 (radiology.az)。
-
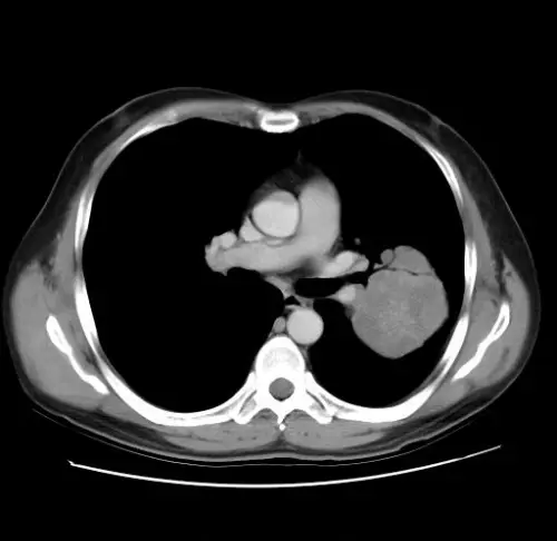
胸部橫斷面CT
- 病灶位於右肺門附近,呈實質性團塊狀,密度高於水(遠高於0 HU),邊緣可見不均勻增強,無液體衰減特徵,確為軟組織實質病灶,而非CT上HU值接近水或低於20 HU的液體 ([peeref.com](https://www.peeref.com/wor
...(解析預覽)...
![醫師[2] - 間質性肺病及肋膜疾病 - AI 圖文解析預覽](/_next/image?url=https%3A%2F%2Fbgvxfcrmbdvefjhuvrmt.supabase.co%2Fstorage%2Fv1%2Fobject%2Fpublic%2Fvisual-explanations%2F215%2F16548_t045568cf.webp&w=3840&q=75)
升級 VIP 解鎖圖文解析