111年:醫學三(2)
39歲女性,健康檢查時發現有心雜音,進一步做了電腦斷層檢查影像如附圖,最可能的診斷為下列何者?
A開放性動脈導管(patent ductus arteriosus)
B主動脈假性動脈瘤(aortic pseudoaneurysm)
C主動脈瘤(aortic aneurysm)
D主動脈縮窄(coarctation of aorta)
詳細解析
本題觀念
本題核心在於胸部電腦斷層(CT)影像中,辨識主動脈與肺動脈間的異常交通(ductus arteriosus),與其他主動脈病變(pseudoaneurysm、aneurysm、coarctation)的影像表徵進行鑑別。
影像分析
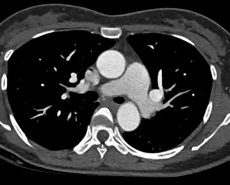
– 第一張圖為胸部橫截面動脈期增強CT,在左側肺動脈入口(red arrow)與降主動脈之間,可見一條細長、錐形的高密度血管通道,從降主動脈延伸至左主肺動脈,並於肺動脈端收細。此通道外壁平滑,無血栓或增厚壁層,連續性佳,形態符合典型Type A型PDA(conical ductus with prominent aortic ampulla) (radiopaedia.org)。
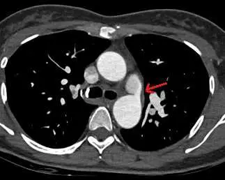
– 第二張圖在稍高一平面,可見該異常血管在主動脈弓下方走行,與左鎖骨下動脈、左肺動脈走行相近,但仍維持獨立連通通道。
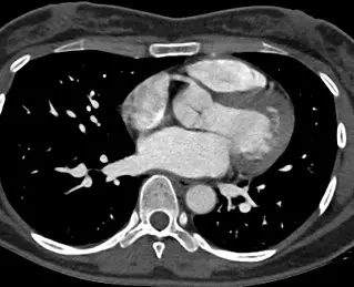
– 第三張圖可見心臟與主動脈弓整體解剖無明顯擴張(aneurysm);亦未見主動脈壁局部厚壁破裂或假性囊腔(pseudoaneurysm)的典型血栓層或纖維袋形態。
選項分析
- 選項A 開放性動脈導管(patent ductus a
...(解析預覽)...
![醫師[2] - 瓣膜疾病及心臟結構異常 - AI 圖文解析預覽](/_next/image?url=https%3A%2F%2Fbgvxfcrmbdvefjhuvrmt.supabase.co%2Fstorage%2Fv1%2Fobject%2Fpublic%2Fvisual-explanations%2F203%2F8014_t0b39d830.webp&w=3840&q=75)
升級 VIP 解鎖圖文解析