111年:醫學五(2)
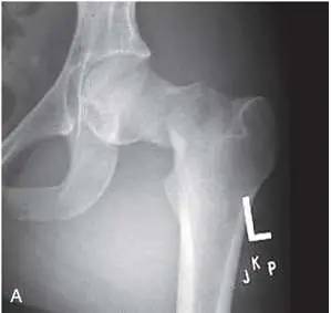
一位 25歲的年輕男性因為車禍,X 光檢查如圖所示下列敘述與處置何者最適當 ?
A根據 Garden氏分類,屬於 stage II不完全骨折(incomplete fracture)
B建議施行雙極式人工半髖關節置換術(bipolar hemiarthroplasty)
C發生股骨頭缺血壞死以及骨折不癒合的機率很高,手術前應該先做 bone scan評估
DX光片顯示 Shenton line不連續,代表骨折移位的程度較大
詳細解析
本題觀念
Shenton 線於骨盆正位 X 光的意義、Femoral neck fracture 的 Garden 分期,以及年輕病人骨折治療原則。
影像分析
該 AP 投影髖關節片可見左側 femoral neck 斷裂,斷端輕度上下錯位,斷端間無 valgus impacted 特徵。構成 Shenton 線的 femoral neck inferomedial border 與 obturator foramen superior border 所連成的弧線出現明顯中斷,代表 femoral head 相對於頸部已有位移。
選項分析
-
選項A 「根據 Garden氏分類,屬於 stage II 不完全骨折 (incomplete fracture)」
Garden stage II 定義為 complete fracture but nondisplaced,並非 incomplete fracture;incomplete fracture 為 Stage I。此選項誤解分期 (ncbi.nlm.nih.gov)。 -
選項B 「建議施行雙極式人工半髖關節置換術 (bipolar hem
...(解析預覽)...
![醫師[2] - 尿路結石 - AI 圖文解析預覽](/_next/image?url=https%3A%2F%2Fbgvxfcrmbdvefjhuvrmt.supabase.co%2Fstorage%2Fv1%2Fobject%2Fpublic%2Fvisual-explanations%2F205%2F7954_t463k3c22.webp&w=3840&q=75)
升級 VIP 解鎖圖文解析