110年:專師內科
病人的胸部X光如圖(二),病人的身體檢查結果,下列哪一個是最有可能的選項?
A左胸廓觸覺震顫(Tactile fremitus)增加
B左胸廓呼吸聲比右胸廓大聲
C左胸廓隨著呼吸動作的起伏,幅度比右胸廓大
D左胸廓叩診呈過度反響聲
詳細解析
本題觀念:
本題探討 tension pneumothorax 的臨床體徵,包括胸部打診、觸覺震顫、呼吸音及胸廓運動的改變,重點在於氣胸累積於胸膜腔而使肺臟塌陷、氣體阻斷震顫及聲音傳導、並造成胸部體響音變化。
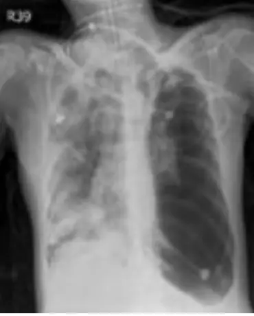
影像分析:
從左側胸部 X 光片可見:
- 左側胸腔廣泛透亮(lucency),缺乏肺血管紋理,提示空氣積聚於胸膜腔中(pneumothorax)。
- 左肺邊緣可見塌陷肺緣(visceral pleural line),左側肺葉已明顯塌陷。
- 心臟與縱膈向右側移位(mediastinal shift),符合 tension pneumothorax 造成之壓迫效應。
- 左側橫膈可能下降或平坦,顯示其下壓;右側肺野相對壓迫較小。
此影像與 tension pneumothorax 的典型特徵吻合:大量胸膜腔內氣體、肺臟完全塌陷,伴有向對側的縱膈移位。
選項分析
-
選項A:左側觸覺震顫增加
理論上,正常肺組織傳導語音震顫至胸壁,而氣胸時空氣隔絕肺與胸壁,導致觸覺震顫明顯減少。觸覺震顫增加常見於肺實質密度增高(如肺炎),與氣胸相反,故排除。(standardofcare.com) -
選項B:左側呼吸聲比右側大聲
...(解析預覽)...

升級 VIP 解鎖圖文解析