111年:(醫檢)血液(1)
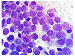
小花因為最近一次的月經後流血不止,臉也漸蒼白,到醫院檢查被告知罹患急性骨髓性白血病,但詳細分型還未知。如圖示,根據 FAB 的分型要件,最有可能的是下列何者?
AAcute myeloid leukemia, M0 type
BAcute myeloid leukemia, M1 type
CAcute myeloid leukemia, M3 type
DAcute myeloid leukemia, M6 type
詳細解析
本題觀念:
辨識FAB急性髓性白血病(AML)形態學分類,尤其是急性前髓細胞白血病(APL, AML-M3)超顆粒型之特徵:大量嗜天青粒、Auer絲(bundle of Auer rods,又稱faggot cells)。
影像分析:
從顯微塗片可見:
- 大量細胞核質比高的白血病性細胞,核膜清晰、可見明顯核仁。
- 細胞質內充滿大型、濃紫色(azurophilic)的嗜天青初級顆粒,顆粒常融合成塊。
- 部分細胞可見多條針狀、堆疊排列的Auer絲(faggot cells),顯示promyelocyte分化階段的典型病理形態。
此種「hypergranular variant」APL的形態,與其他AML分型如M0、M1、M6皆有明顯差異。
選項分析
- 選項A Acute myeloid leukemia, M0 type
M0為最少分化型,細胞質無或極少粒狀物,需以免疫表現(MPO、CD13、CD33)確認,有時完全看不到Auer絲。顯微下本題出現大量嗜天青顆粒及Auer絲,與M0完全不符。 - 選項B Acute myeloid leukemia, M1 type
M1為無成熟型,雖可見少數Auer絲,但細胞質僅有輕度或稀疏顆粒,且成熟度停留於myeloblast;本圖細胞質粒體極豐富、數量多且大小不一,屬prom
...(解析預覽)...

升級 VIP 解鎖圖文解析