109年:內專
18歲男性無特殊疾病,某天在打籃球時突然胸痛、胸悶來到急診。胸部X光如附圖,下列何者為是:
A好發年輕男性身材矮胖
B常是慢性肺部疾病引起
C治療首選是開刀
D與抽菸關係密切
E治療成功後幾乎不會復發
詳細解析
本題觀念:
原發性自發性氣胸(primary spontaneous pneumothorax, PSP)病人多為無慢性肺病的年輕男性,與吸菸及特定體型(高瘦)相關,治療以保守或胸腔引流為主,復發率卻不低。
影像分析:
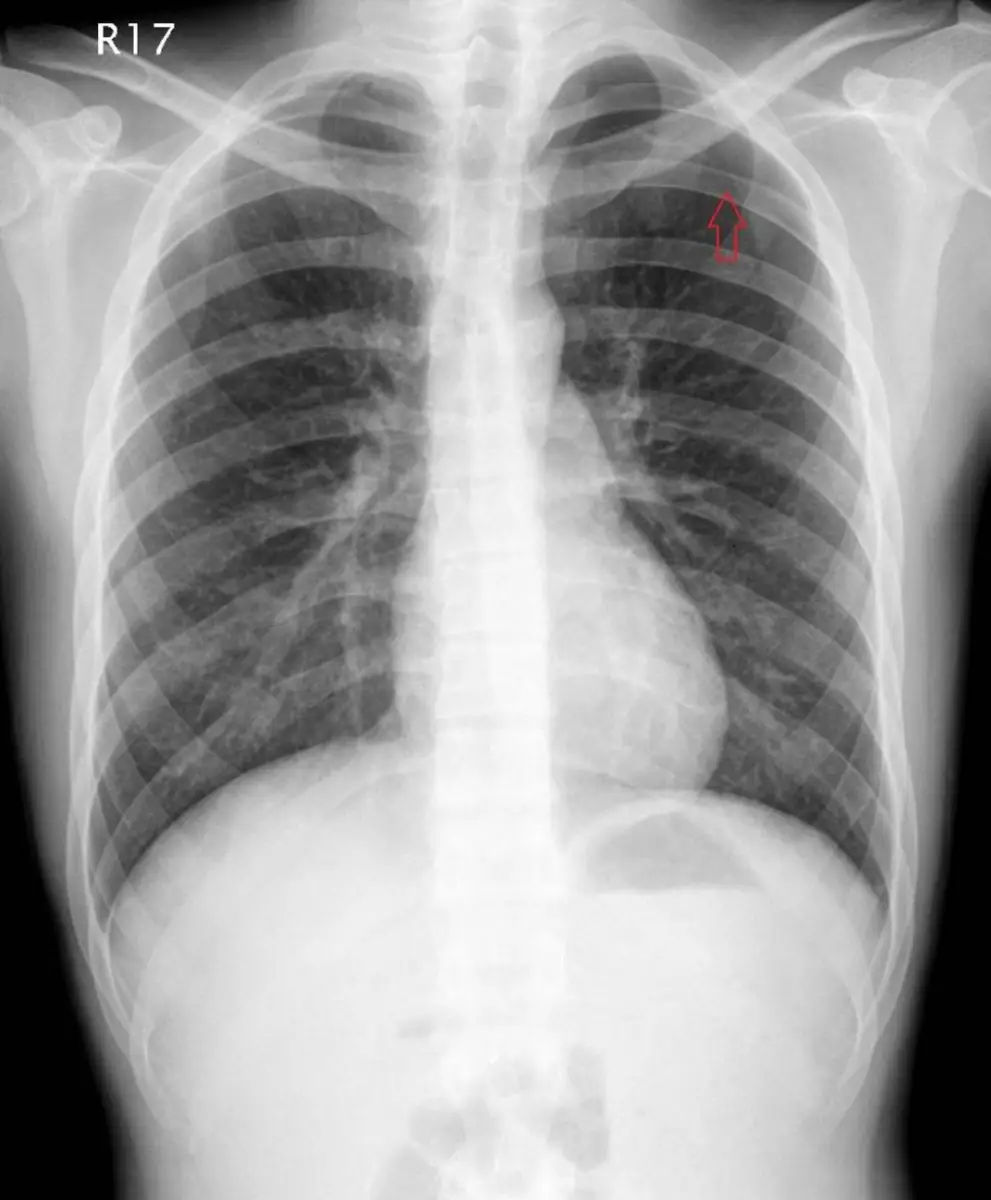
胸部正位X光可見右上肺尖區透亮度異常增加,靠近胸壁處出現一條清晰的實線(箭頭所指),為肺緣(visceral pleural line);線外側無肺紋理顯示存在自由氣體。此征象典型於氣胸,使肺部分塌陷。未見液平面或其他肺實質病變。
選項分析
- 選項A 好發年輕男性身材矮胖
原發性自發性氣胸好發於身高較高、BMI偏低的年輕男性(高瘦體型),並非矮胖。故此選項錯誤。 - 選項B 常是慢性肺部疾病引起
繼發性自發性氣胸才多見於COPD、肺氣腫等慢性肺病患者;原發型發生於沒有臨床肺部疾病的人。此選項不符原發性概念。 - 選項C 治療首選是開刀
原發性自發性氣胸首發時多以保守觀察或胸腔引流為主,僅在反覆發作或持續漏氣時考慮VATS或外科pleurodesis。開刀並非首選。 - 選項D 與抽菸關係密切
吸菸者罹患PSP風險顯著提高(男性高達22倍),且吸菸是復發的重要危險因子,戒菸可大幅降低復發率。此為符合證據的正確敘述。 - 選項E 治療成功後幾乎不會復發
首次PSP的復發率約20–25%
...(解析預覽)...

升級 VIP 解鎖圖文解析