107年:內專
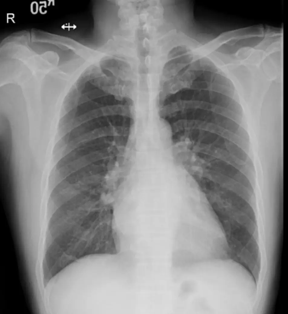
42歲男性,自年輕時候時有感冒症狀,近來漸有呼吸困難,進而尋醫治病,經心臟超音波診斷並住院處置。身體檢查: BP:116/61 mmHg; PR:61/min; RR:18/min; 頸靜脈正常;肺呼吸音正常清澈;心臟正常大小,S1重響,在心尖有 Gr 2-3/6 mid-diastolic murmur ;腹部未見肝、脾腫大;雙腿未有水腫。其心電圖及胸部X光如圖。其血液及生化檢查未有異常。唯其心臟超音波顯示如圖。經過四天過程平順出院。請問下列有關本病人的處置是正確的? (1). 病人應使用β-blocker 控制心跳 (2). 口服抗生素預防心內膜炎之發生是必要的 (3). 口服warfarin調控INR (iInternational normalized ratio) 介於1·5 -2·5 為宜 (4). 有高出血危險者得按照實証醫學,使用DOAC(direct oral anti-coagulant) 預防血栓之發生 (5). 本病人以門診追蹤處置即可 (6). 本病人以外科組織瓣膜(tissue valve)置換手術為宜
A(1)+(2)+(3)
B(1)+(3)+(5)
C(2)+(4)+(6)
D(2)+(3)+(5)
E(2)+(3)+(6)
詳細解析
本題觀念
本題核心在於中度至重度風濕性二尖瓣狹窄(mitral stenosis, MS)的全方位管理,包括症狀性藥物治療(HR 控制、體液負荷減輕)、預防措施(風濕熱與心內膜炎)、以及抗栓治療的適應症與目標 INR。
影像分析
- 胸部 X 光:心影並未明顯增大,但左心房輪廓可見輕度放大(左側上縱隔輕度隆起),肺野清晰無水腫或淋巴管暈狀改變,提示肺循環壓力尚未嚴重失代償。
- 心電圖:節律規則,P 波可見於每一 QRS 之前,PR 間期正常,無房顫或心房撲動波形,故為正常竇性心律。
- 經胸超音波(TTE)– M-mode 與 2D:左房直徑 58 mm (>40 mm),明顯擴大;二尖瓣葉分離不佳,瓣口開放受限。
- 彩色多普勒:二尖瓣流速呈顏色別頻效應(aliasing),顯示二尖瓣口有明顯壓力梯度。
- 心導管術血流動力:左房壓力平均約 30 mmHg,左室舒張壓約 18 mmHg,二者壓差約 12 mmHg,符合中度至重度 MS 定義(mean gradient ≥10 mmHg)。
上述所見與典型風濕性二尖瓣狹窄吻合:长期感染後瓣膜攣縮、吸收等造成瓣口面積減少,左房壓力上升,產生典型 mid-diastolic rumbling murmur。
選項分析
- 選項(1) 病人應使用 beta-block
...(解析預覽)...

升級 VIP 解鎖圖文解析