106年:內專
病患胸部X光片與電腦斷層影像如圖, 以下診斷何者最為可能:
ASmall cell lung cancer
BSeptic emboli
CSarcoidosis
DBronchiolitis obliterans organizing pneumonia
EPulmonary fibrosis
詳細解析
本題觀念:
本題核心在於識別肺部多發結節性病灶的影像特徵,並結合臨床背景判斷其最可能的病因。重點區別在於多發結節的形態(結節 vs 楔形浸潤影)、分布(周邊 vs 內側、上葉 vs 下葉優勢)、有無快速空洞化以及 feeding vessel sign(血管徑直通向病灶所形成的影像徵象)。
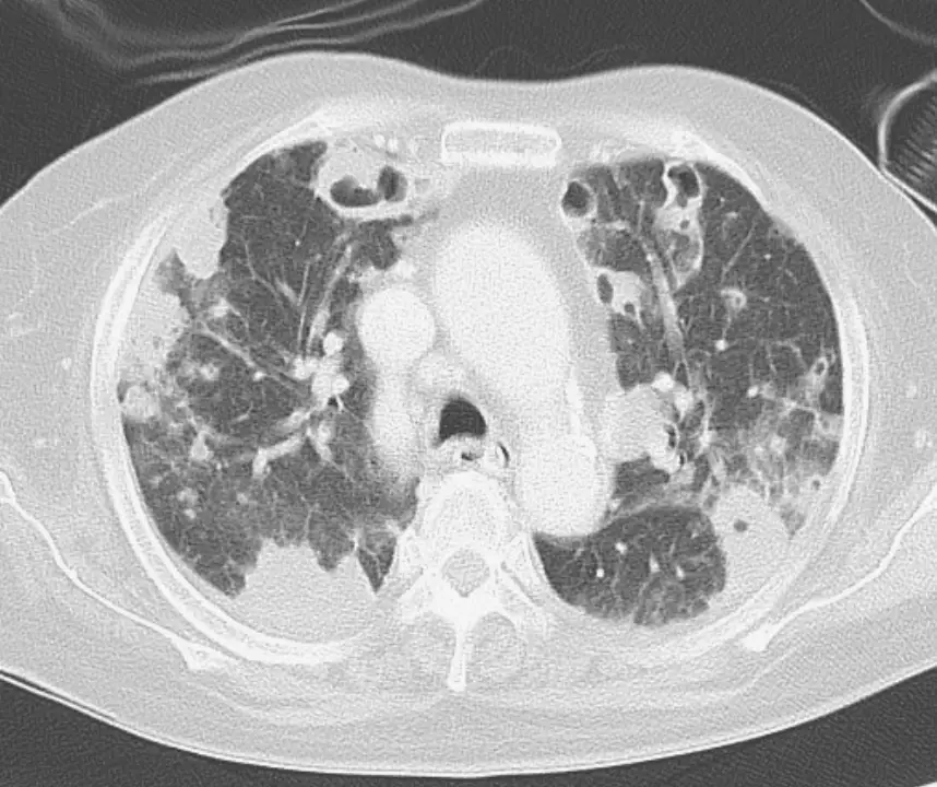
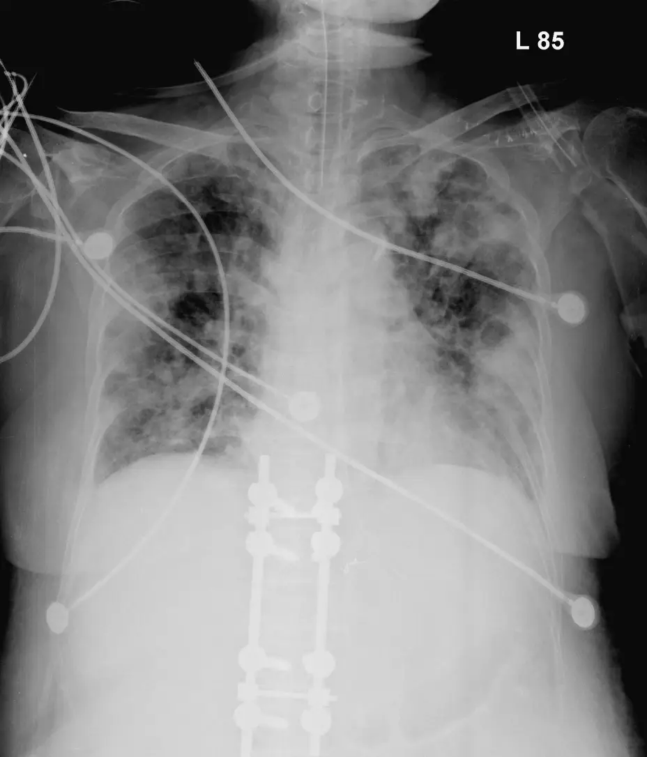
影像分析:
從胸部X光片可見:
- 雙側多發性邊緣模糊的結節狀及塌陷狀浸潤影,主要集中於下肺場,呈不規則分布;
- 部分病灶已出現空洞化(中央透亮區域);
- 伴有少量胸腔積液及醫療器械(中央導管、體外支架等)提示病人重症且可能有導管相關感染風險。
從胸部斷層掃描(CT)可見:
- 多發性周邊及靠近胸膜的圓形結節與楔形實變影,包括大小不等的結節,多數直徑<3cm;
- 約半數病灶已有空洞化表現,空洞壁厚薄不一,代表在不同階段的壞死與空洞形成;
- 部分結節可見血管分支直接延伸至結節邊緣,形成 feeding vessel sign;
- 下葉及基底部病灶較多,分布雙側且偏重重力依賴區。
上述影像特徵符合「多發周邊結節、楔形浸潤、快速空洞化、feeding vessel sign」的典型 septic pulmonary emboli 圖像學表現。
選項分析
- 選項A Small cell lung cancer
• 通常呈中央性腫塊或縱隔淋巴腺病,少見多
...(解析預覽)...

升級 VIP 解鎖圖文解析