106年:內專
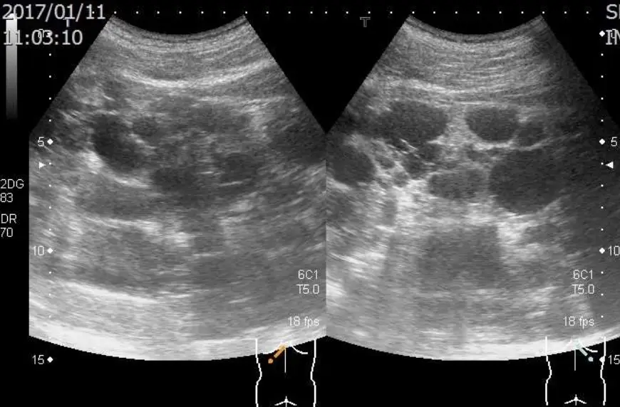
某45歲男性已有高血壓5年,最近檢查有血尿RBC 10-20/HPF、Cre 1.2 mg/dL、超音波檢查發現兩側腎臟長徑超過15公分(如圖)及各有囊腫數目超過十個;家族史為父親自60歲開始血液透析,不曾顱內出血,父親的腎臟超音波亦有雷同的發現。 請問關於其腎臟疾病之敘述,下列何者為正確?(1)每年定期追蹤腎功能,即為預估日後是否需要透析治療之最敏感方法;(2)若其太太懷孕可做產前篩檢,其子女遺傳此腎臟疾病的機會為50%;(3) 以影像學檢查估算其腎臟體積,若超過600立方公分,其腎功能極可能持續逐年惡化;(4) 雖無症狀,應每年安排腦部血管Magnetic resonance angiography的檢查;(5)宜建議停止服用含女性荷爾蒙之避孕藥。
A(1)+(2)+(3)
B(1)+(3)+(4)
C(2)+(4)
D(4)+(5)
E(2)+(3)+(5)
詳細解析
本題觀念:
ADPKD 的常染色體顯性遺傳特性、影像學測量腎臟總體積(TKV)對病程預測的價值、顱內動脈瘤篩檢指引,以及外源性雌激素對多囊肝病變的影響。
影像分析:
超音波顯示雙側腎臟顯著腫大,長徑均超過15公分,皮質下及實質散在多發性囊腫,每側囊腫數量逾十顆,為 ADPKD 的典型表現。腎臟體積持續增大與未來 GFR 下降密切相關,影像量化可作為早期預測工具。
選項分析
- 選項(1):單純以年度血清 Cr 或 eGFR 追蹤,當病人腎功能維持在正常或輕微減退階段時,對於預測未來透析需求的敏感度較差,不及影像學量測 TKV 的預測力(pmc.ncbi.nlm.nih.gov),敘述錯誤。
- 選項(2):ADPKD 採常染色體顯性遺傳,子女每胎遺傳機率為 50%,若已知家族致病基因,可進行產前或胚胎植入前基因檢測,敘述正確(en.wikipedia.org)。
- 選項(3):
...(解析預覽)...

升級 VIP 解鎖圖文解析