114年:醫學五(2)

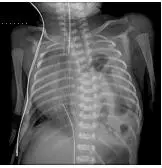
一名體重約 2.5公斤的女嬰,出生時有呼吸窘迫、腹部凹陷的現象。 X光檢查發現在左側胸腔內充滿腸氣(如圖)。下列敘述何者錯誤? 圖片描述

A此新生兒為先天性橫膈疝氣( congenital diaphragmatic hernia ),其腸道經由橫膈缺損處進入胸腔
B此疾病的發生原因尚未十分清楚,但推測可能是在胚胎時期,胸腹膜管( pleuroperitoneal canal )沒有正 常閉合造成,約 80%發生在左側
C肺動脈高壓( pulmonary hypertension )常是罹患此病新生兒的致死原因
D因為腹部臟器在胸腔,會嚴重影響新生兒的呼吸與換氣,因此在出生後要立即安排緊急手術將腹部臟器復位 並修補橫膈缺損

詳細解析

本題觀念:

本題聚焦於先天性膈疝(congenital diaphragmatic hernia, CDH)的胚胎發生學與臨床管理。CDH 多因 pleuroperitoneal canal 在胚胎 8 週左右未能正常閉合,造成橫膈缺損,腹腔臟器(尤其是腸道)移入胸腔,干擾肺臟發育並導致肺動脈高壓與肺部低發育。

影像分析:

從胸部 X 光可見左側胸腔大量彎曲、透亮的氣影,形狀與腸袢相符;左肺野肺容積減少,心臟與縱隔明顯向右側移位;腹部呈凹陷(scaphoid abdomen),肋間收縮加劇。這些影像特徵高度符合同步呼吸窘迫的新生兒 CDH,顯示腹腔內容物已經自橫膈缺損處進入左胸腔,壓迫左肺並造成肺發育不良。

選項分析

  • 選項 A:「此新生兒為先天性橫膈疝氣(congenital diaphragmatic hernia),其腸道經由橫膈缺損處進入胸腔。」
    正確。Bochdalek hernia 屬於最常見的 CDH 形式,腸道自後外側(postero-lateral)缺損處移入胸腔造成影像所示現象 (amboss.com, pmc.ncbi.nlm.nih.gov)。

  • 選項 B:「此疾病的發生原因尚未十分清楚,但推測可能是在胚胎時期,胸腹膜管(pleuroperitoneal canal)沒有正常閉合造成,約 80%發生在左側。」
    正確。胚胎期 pleuroperitoneal canal 閉合失敗即是 Bochdalek hernia 的主要成因,約 80–85%位於左側,因右側受肝臟保護較少缺損發生 (brainkart.com, pubmed.ncbi.nlm.nih.gov)。

  • 選項 C:「肺動脈高壓(pulmonary hypertension)常是罹患此病新生兒的致死原因。」
    正確。CDH 患童因肺發育不足伴隨肺血管重塑,常合併持續性肺動脈高壓(persistent pulmonary hypertension of the newborn, PPHN),是早期主要致死機轉之一 (mhnpjournal.biomedcentral.com, ncbi.nlm.nih.gov)。

  • 選項 D:「因為腹部臟器在胸腔,會嚴重影響新生兒的呼吸與換氣,因此在出生後要立即安排緊急手術將腹部臟器復位並修補橫膈缺損。」
    錯誤。當前管理強調先以氣管內管通氣、胃減壓及 PPHN 控制等方式穩定生命徵象,再於出生後 24–48 小時內(非立即)手術修補;有研究顯示早於 24 小時內手術反而與較高死亡率相關 (amboss.com, pubmed.ncbi.nlm.nih.gov)。

答案解析

選項 D 描述與現行新生兒 CDH 管理原則相違。新生兒一旦診斷 CDH,首要進行呼吸與血流動力穩定,包括低壓通氣策略、胃管連續減壓、inotrope 支援及 PPHN 處理。待血氧和血流動力學穩定後(通常出生後 24–48 小時),再進行手術減壓及缺損修補,以降低手術期間與術後的風險與死亡率。

臨床重要性

CDH 患兒生命期望與遠期預後深受出生前肺臟成熟度和出生後血流動力學管理影響。適當的術前穩定化策略能降低術後併發症及死亡率,最佳手術時機與多專科團隊合作(新生兒科、心臟科、外科及 ECMO 團隊)至關重要。