114年:醫學四(1)
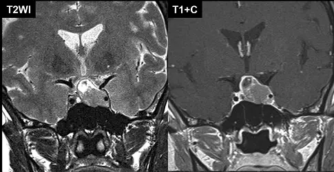
53歲女性,一個月來有頭痛現象,根據所附二張MRI影像,下列何者為最可能的診斷?
A內頸動脈動脈瘤
B腦膜瘤
C多形性膠質母細胞瘤
D腦下垂體腺瘤
詳細解析
本題觀念:
suprasellar與sellar區塊的常見病灶,以pituitary macroadenoma、meningioma、aneurysm為主體,其中pituitary macroadenoma為成人最常見之suprasellar腫塊 (radiopaedia.org)。本題重點在於透過MRI影像特徵加以鑑別節段性病灶。
影像分析:
左圖(T2WI coronal)見鞍窩區塊狀病變,signal較周遭結構等至輕度高,鞍底明顯擴大且骨質呈漸進式改建;病灶向上延伸至鞍上,與周圍腦組織界限清晰,無大量周圍水腫。右圖(T1+C coronal)顯示該病灶呈均質強化,無中央壞死或囊化,也未見典型的硬膜尾(dural tail)或骨質破壞,整體呈現“雪人”或figure-of-eight形態。
選項分析
- 選項A 內頸動脈動脈瘤
專利動脈瘤於T2WI常見flow void(低訊號),或呈非均質血流回聲;增強序列可見血池填充,但不呈固態均質強化,且T2一般為低訊號 ([radiopaedia.org](https://radiopaedia.org/articles/saccular-cerebral
...(解析預覽)...
![醫師[2] - 髓鞘脫失性疾病、CNS感染、腫瘤及遺傳學 - AI 圖文解析預覽](/_next/image?url=https%3A%2F%2Fbgvxfcrmbdvefjhuvrmt.supabase.co%2Fstorage%2Fv1%2Fobject%2Fpublic%2Fvisual-explanations%2F179%2F889_tc1291ae6.webp&w=3840&q=75)
升級 VIP 解鎖圖文解析