114年:醫學五(1)
75歲老人由療養院送來,主訴腹脹,腹部X光片如圖(A),下消化道鋇劑攝影如圖(B),則其最可能的診斷為下列何者?
A無力性腸阻塞(adynamic ileus)
B上腸繫膜動脈症候群(superior mesenteric artery syndrome)
C乙狀結腸扭轉(sigmoid volvulus)
D近端腸環症候群(afferent loop syndrome)
詳細解析
本題觀念:
核心在於辨識結腸扭轉(volvulus)的典型影像特徵。Sigmoid volvulus 常見於高齡、慢性便秘或神經心理慢性病患,X 光及灌腸鋇劑檢查有典型的診斷標誌:
- Abdominal X-ray 的 “coffee bean sign”(或稱 bent inner-tube sign)
- Barium enema 的 “bird’s beak sign”
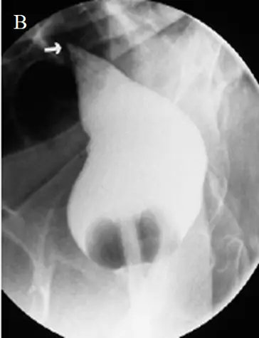
影像分析:
圖 A(腹部直立/臥位平片)
- 可見一個巨大的氣脹迂迴結腸迴盲狀構造,呈向上開口的倒 U 形,且中線處形成一明顯的中央裂隙(cleft),兩側為氣體膨脹之腸袢,未見遠端大腸明顯氣體(absent rectal gas)
- 此為典型的 “coffee bean sign”,顯示 sigmoid 結腸已沿其系膜軸捲轉,形成閉環性阻塞 (en.wikipedia.org)
圖 B(下消化道鋇劑灌注造影)
- 鋇劑自直腸注入後,沿結腸中線向上推進至扭轉處突然變細,呈現平滑的錐狀收縮端,俗稱 “bird’s beak” 或 “bird-of-prey sign” ([jamanetwork.com](https:
...(解析預覽)...
![醫師[2] - 大腸直腸外科學 - AI 圖文解析預覽](/_next/image?url=https%3A%2F%2Fbgvxfcrmbdvefjhuvrmt.supabase.co%2Fstorage%2Fv1%2Fobject%2Fpublic%2Fvisual-explanations%2F180%2F772_t628685fe.webp&w=3840&q=75)
升級 VIP 解鎖圖文解析