112年:內專
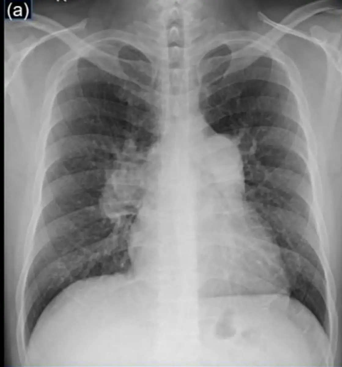
某47歲病人因呼吸困難就醫。胸部X光如圖所示。請問安排下列何種檢查最能確定其診斷?
A抽血D-dimer + 胸部電腦斷層。
B動脈血氣體分析 + 胸部電腦斷層。
C心電圖 + 核醫肺灌流顯影(perfusion scan)。
D心臟超音波 + 右心導管檢查。
E心臟超音波 + 左心導管檢查。
詳細解析
本題觀念:
本題核心圍繞 Pulmonary Hypertension (PH) 的放射影像特徵與確診流程。利用胸部X光初步偵測中樞肺動脈擴張、週邊血管修剪(pruning)及右心影增大等徵象後,透過 Transthoracic Echocardiography (TTE) 篩檢,再以 Right Heart Catheterization (RHC) 作為金標準確診並量化肺動脈壓。
影像分析:
從 PA 及側位胸部X光可見:
- 中樞肺動脈主幹及左右分支明顯擴張;右降支肺動脈外徑估計超過男性標準16 mm,符合肺動脈壓升高表現(pmc.ncbi.nlm.nih.gov)。
- 週邊小血管顯著修剪,肺野末梢血管消失,顯示中樞血流過度集中文段,典型 Pulmonary Arterial Hypertension 影像特徵(learningradiology.com)。
- 側位片可見前縱隔(即後胸骨空間)之 air space
...(解析預覽)...

升級 VIP 解鎖圖文解析