114年:醫學六(2)

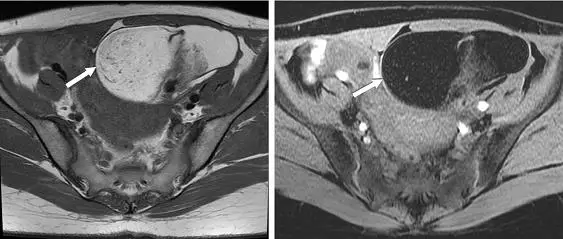
一位年輕女性接受磁振造影檢查發現卵巢腫瘤如圖,箭號所指之病灶,下列何者為最恰當之診斷? 圖片描述

A畸胎瘤
B血腫
C黃體囊腫
D巧克力囊腫

詳細解析

本題觀念:

MRI上成熟囊性畸胎瘤(mature cystic teratoma)典型特徵是囊內含有大量脂肪組織,可在T1加權像上呈高訊號,並於脂肪抑制序列(fat-sat)明顯低訊號。利用化學位移效應或專門的脂肪抑制技術鑑別脂肪與血液或其他蛋白質性內容物,是本題核心。

影像分析:

影像包含兩張軸向MRI切片:

  • 左圖(T1加權像):左側卵巢區域可見一巨大的囊性病灶,其內部部分組織呈高訊號(箭示處)。此種T1高訊號質常見於含脂肪或亞急性期血腫。
  • 右圖(T1脂肪抑制像):同一位置的高訊號明顯被抑制,信號強度顯著下降。這說明該組織成分為脂肪,因脂肪抑制序列會專一性地抑制所有脂肪訊號。若為血腫(methemoglobin),T1脂肪抑制後仍維持高訊號,不會全部消失;若為巧克力囊腫(endometrioma)或黃體囊腫,主要成分為血液或血紅素衍生物,也不會在脂肪抑制序列中完全降訊。

選項分析

  • 選項A 畸胎瘤(Mature teratoma)
    成熟囊性畸胎瘤最常見於生育年齡女性,內含脂肪、皮膚附屬結構、牙齒等。MRI上典型為T1高訊號且於脂肪抑制序列明顯失號,是診斷金標準。符合此影像特徵,為最佳診斷。
  • 選項B 血腫(Hematoma)
    血腫依時期不同表現不一。亞急性期(methemoglobin)可在T1加權像呈高訊號,但即使施以脂肪抑制序列,血紅素衍生物仍維持T1高訊號,不會被抑制成低訊號。因此排除。
  • 選項C 黃體囊腫(Corpus luteum cyst)
    為排卵後黃體增生所致的生理性囊腫,內容物可含血液呈T1高訊號,邊緣通常較厚、於對比劑加強後壁可增強;但脂肪抑制後依舊高訊號,且囊內不含脂肪,不符合本影像顯示的脂肪抑制結果。
  • 選項D 巧克力囊腫(Endometrioma)
    內容物主要為陳旧血液,「T1高、T2遮蔭(shading)現象」,但脂肪抑制影像仍呈高訊號,因並非脂肪所致。影像中脂肪抑制後信號降為低,排除此項。

答案解析

MRI箭示處在T1加權像上的高訊號於脂肪抑制序列被完全抑制,證實病灶含大量脂肪,此為成熟囊性畸胎瘤(dermoid cyst)的特徵表現。其他血性病灶或巧克力囊腫雖也可在T1呈高訊號,但無法於脂肪抑制序列顯著失號,故均可排除。

臨床重要性

成熟囊性畸胎瘤是生育年齡女性最常見的良性卵巢腫瘤,術前MRI確認脂肪組成有助於排除惡性可能及其他需要不同治療的囊腫,並規劃以保留卵巢功能為優先的手術方式。影像診斷準確能降低不必要的侵入性檢查與術後併發症。