109年:醫學四(1)
6個月大男嬰因泌尿道感染合併敗血症,之後安排 VCUG (Voiding cystourethrogram )檢查結果如附圖。下列敘述何者錯誤?
A要進一 步做鎝 -99m-DMSA 腎皮質掃描
B要考慮是因膀胱異常導致的次發性( Secondary )膀胱輸 尿管逆流
C要立即接受手術矯正治療
D要排除病人是否有合 併Sacral agenesis, occult spinal dysraphism
詳細解析
本題觀念
探討嬰兒因泌尿道感染併敗血症後,VCUG 示 PUV(posterior urethral valves)導致之二級性(secondary)膀胱輸尿管逆流(VUR),以及後續檢查與處置要點。
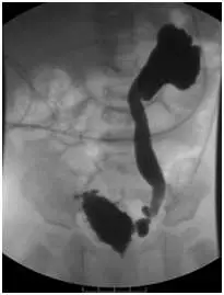
影像分析
從提供的兩張 VCUG 影像可見:
- 膀胱明顯增大,壁呈肥厚及不規則的trabeculation,並見多發小型凸出形成的膀胱憩室(diverticula);
- 排尿相側位影像顯示遠端前列腺部尿道明顯擴張(an elongated, dilated posterior urethra),典型「windsock」樣外觀,與正常尿道管徑明顯不同。
上述改變符合 PUV 導致的阻塞後壓力過高,使膀胱壁肥厚形成trabeculae及憩室,同時後段尿道於排尿期因瓣膜阻塞而擴張(obgynkey.com)。
選項分析
- 選項A 要進一步做鎝-99m-DMSA 腎皮質掃描
DMSA 掃描可評估腎皮質損傷或疤痕形成,特別在超音波顯示高度VUR或腎臟皮質變薄者,建議6–8週後做baseline功能評估([obgynkey.com](https://obgynkey.com/posteri
...(解析預覽)...
![醫師[2] - 腎臟疾病 - AI 圖文解析預覽](/_next/image?url=https%3A%2F%2Fbgvxfcrmbdvefjhuvrmt.supabase.co%2Fstorage%2Fv1%2Fobject%2Fpublic%2Fvisual-explanations%2F216%2F16570_t13d9158b.webp&w=3840&q=75)
升級 VIP 解鎖圖文解析