107年:專師內科
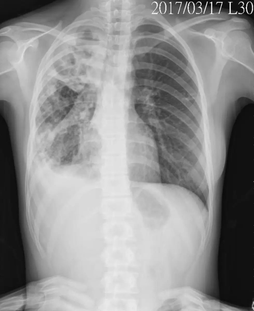
呂同學,18歲,過去健康狀況良好,最近2個月久咳不癒,2週前開始咳嗽有痰、痰帶血絲、發燒、呼吸越來越喘,血壓心跳無異常。住院當日胸部X光片如圖,下列哪一項應優先處置?
A投予抗生素,如 levofloxacin 治療
B胸管引流胸腔積液
C痰液檢查,包括細菌、結核菌之檢驗
D支氣管擴張劑單一劑量吸入液(unit dose nebulizer)噴霧吸入治療
詳細解析
本題觀念
針對疑似活動性肺結核或其他感染性肺病患者,臨床上「確立病原學診斷」的優先順序與原則。
病例判讀
• 18 歲年輕人,咳嗽已 2 個月且近 2 週開始有血絲痰、發燒、呼吸愈來愈喘 → 符合「咳嗽超過 2–3 週+全身/呼吸道症狀」的肺結核典型表現。
• 胸部 X 光:右肺上、中葉大片浸潤並可見類空洞變化,上肺野較常見於 reactivation TB;右下肺界線變鈍可能合併少量胸腔積液。
綜合臨床症狀與影像,首先必須懷疑肺結核,其次才考慮細菌性或其他病原引起之壞死性肺炎。
為何「痰液檢查」應列為優先處置(選項 C)
• 活動性 TB 的確診必須找到 Mycobacterium tuberculosis;臨床診斷流程強調「三痰一照」。
• 只要懷疑 TB,即應立即採集痰液進行:
a. 抗酸性塗片 (AFB smear) — 最快、可當天得初步結果
b. 培養 — 黃金標準,日後做藥敏
c. 分子快篩 (NAAT/Xpert) — 2 小時內確認 TB 並偵測 rifampin resistance
d. 同時送一般細菌培養,可區分共感染的細菌性肺炎
• 先取得標本才能避免不必要或不當的抗生素治療,並依藥敏制定正確療程。
其他選項
...(解析預覽)...

升級 VIP 解鎖圖文解析