106年:專師內科106年:專師共同科
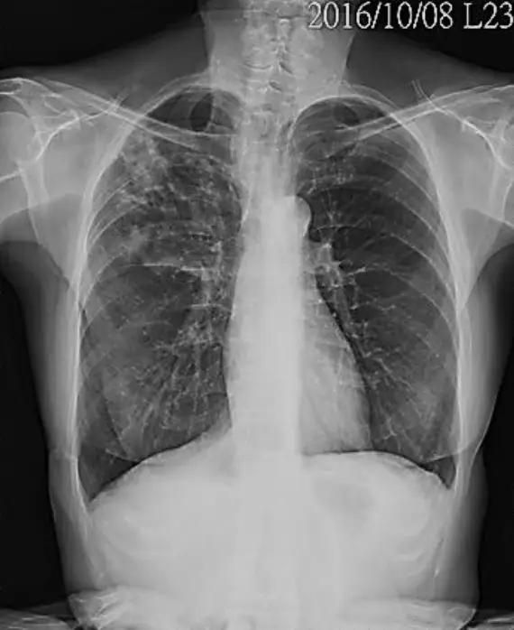
一位 52 歲女性罹患類風濕性關節炎多年,一年前開始使用生物製劑抗腫瘤壞死因子(TNF - α inhibitor) Entercept®治療,治療前胸部X光報告無異常。但過去一個月來經常咳嗽,偶爾會咳出血絲痰,再度接受胸部X光檢查如下圖,下列處置何者最為優先?
A痰液癌細胞篩檢及抽血檢驗腫瘤指數
B痰液嗜酸菌及結核細菌培養
C支氣管鏡檢查
D肺功能檢查
詳細解析
本題觀念
TNF-α 抑制劑使用者出現肺部症狀時,應立即懷疑並優先排除「活躍型肺結核」,首要檢查為痰液抗酸菌(AFB)塗片與結核菌培養。
病程與風險評估
• Etanercept (TNF-α inhibitor) 會抑制巨噬細胞釋放 TNF-α,降低肉芽腫維持能力,是公認促使潛伏性 TB 重新活化的高危藥物。
• 典型再活化 TB 放射學表現為上肺葉片狀浸潤、纖維條索或空洞;臨床可有頑固咳嗽、血絲痰。題目 X 光呈右上肺滲潤,症狀符合。
• 活躍型 TB 為第二、三類法定傳染病(依是否 MDR),具公共衛生緊急性,需儘速確認並隔離治療。
選項解析
A. 痰液癌細胞篩檢與腫瘤指數
• 肺癌雖亦可造成咳血,但 1 個月急性惡化且影像為片狀浸潤而非結節,惡性腫瘤指數診斷價值低,且非第一線急件。
B. 痰液嗜酸菌塗片及結核菌培養
• 三痰一照為經典 TB 診斷流程;AFB smear 可在數小時內提供初步結果,培養為黃金標準,可進一步做藥敏。此為最優先且最迫切之檢測。
C. 支氣管鏡
• 用於無法自行產痰或初步檢查陰性後取活檢、止血等。侵入性高,不應在排除 TB 之前直接執行,以免增加傳染風險。
D. 肺功能檢查
• 只能評估阻
...(解析預覽)...

升級 VIP 解鎖圖文解析