111年:醫學六(1)
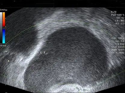
一個 30歲無性經驗女性來到門診,她主訴經痛已持續 5 年,長期使用止痛藥緩解症狀,此外她並無經血過多或頻尿之現象。她的經期剛結束,經安排婦科超音波檢查發現左側卵巢有一直徑約 8x7 公分的卵巢囊腫(如圖),下列何者為最可能的診斷?
A卵巢濾泡囊腫( ovarian follicular cyst )
B卵巢子宮內膜異位瘤( ovarian endometrioma )
C卵巢纖維瘤( ovarian fibroma )
D卵巢癌( ovarian cancer )
詳細解析
本題觀念:
本題核心在鑑別生殖年齡女性卵巢囊腫的超音波特徵,特別是辨別常見功能性囊腫與子宮內膜異位卵巢囊腫(endometrioma)之間的差異。
影像分析:
從所提供的經陰道超音波影像可見:
- 左側卵巢有一顆約 8×7 公分的單房性囊腫。
- 囊腫內呈均質低回波(homogenous low-level echoes),俗稱 “ground glass” 外觀。
- 囊壁平滑,未見明顯隔膜、實質結節或鈣化。
- Doppler 評估不見明顯內部血流訊號。
- 周邊可見正常卵巢組織輕度壓迫(ovarian crescent sign),顯示其為良性囊性病變。
以上特徵與 endometrioma 的典型超音波表現相符,為“巧克力囊腫”內含陳舊血液所致之低回波均質質地。此影像中並無簡單囊腫之完全無回聲,也未有惡性病灶常見之複雜結構或血流。
選項分析
- 選項A 卵巢濾泡囊腫(ovarian follicular cyst)
典型為單房性、薄壁、純無回聲囊腫,伴有後方聲增強,內部不應有均質低回波或碎型回聲。此病患之囊腫呈“ground glass”均質低回波,不符合單純濾泡囊腫的純液性特性 ([radiologykey.com](https://radiologykey.com/functional-lesions-of-the-ovary/?u
...(解析預覽)...
![醫師[2] - 子宮良性疾病 - AI 圖文解析預覽](/_next/image?url=https%3A%2F%2Fbgvxfcrmbdvefjhuvrmt.supabase.co%2Fstorage%2Fv1%2Fobject%2Fpublic%2Fvisual-explanations%2F201%2F8204_te363d664.webp&w=3840&q=75)
升級 VIP 解鎖圖文解析