114年:專師內科114年:專師共同科

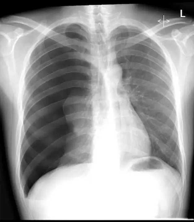
一位25歲男性因呼吸困難至急診就醫,主訴2天前工作撞擊到右側胸部,胸部X光檢查 如圖(三),下列處置何者較適當? 圖片描述

A立即給予右側胸管置入引流
B觀察呼吸困難狀況並給予肌肉鬆弛劑
C立即安排胸腔鏡手術治療
D安排胸部電腦斷層檢查確立診斷

詳細解析

本題觀念:

創傷後出現 tension pneumothorax(張力性氣胸)時,首要目標是迅速解除胸腔內正壓、恢復肺部擴張並矯正血流動力學壓迫,因此需立即行「減壓+胸管置入」。影像可見單側高度透亮、肺紋理消失,伴隨縱膈左移與橫膈下降。

影像分析:

從正面胸部 X 光可見:

  1. 右側整片肺野呈高度透亮,幾乎無血管紋理,顯示大量自由空氣充斥右胸腔。
  2. 右肺實質在肺門周圍可見一條皺縮的肺邊緣,代表肺實質已高度萎縮。
  3. 心臟與縱膈向左側偏移,氣管亦被推向左側,提示胸腔內壓力升高造成縱膈位移。
  4. 右橫膈明顯較左側低,並呈「deep sulcus sign」輪廓,符合張力性氣胸的典型 X 光表現。 綜合判斷:影像高度支持右側 tension pneumothorax。

選項分析

  • 選項A 立即給予右側胸管置入引流
    張力性氣胸需立刻插入胸管(若無胸管先行 needle decompression),持續排氣以解除縱膈壓迫,是標準與最具時效性的處置。(aneskey.com)

  • 選項B 觀察呼吸困難並給予肌肉鬆弛劑
    單純觀察會延遲減壓治療;肌肉鬆弛劑無法處理胸腔內正壓,屬危及生命的延誤。

  • 選項C 立即安排胸腔鏡手術治療
    VATS 用於復發性或持續漏氣的氣胸,並非急救第一線;應於病情穩定後再評估。

  • 選項D 安排胸部電腦斷層檢查確立診斷
    CT 雖能精確評估,但 tension physiology 需先救命後診斷;等待檢查會耽誤黃金治療時間。

答案解析

依據影像及臨床,病人出現創傷後張力性氣胸,已產生縱膈位移與呼吸窘迫。ABCDE 初期處置強調「任何懷疑張力性氣胸者,不應延遲治療以等待影像」。若現場已有胸管設備,可直接於第 4–5 肋間前腋線置入 28–32 Fr chest tube;如無胸管則先以 14–16G 針於第 2 肋間鎖骨中線做 needle thoracostomy,隨後置管持續引流。選項 A 為唯一符合急救流程之措施。

核心知識點

  1. Tension pneumothorax 影像特徵:單側肺透亮、肺紋理消失、縱膈與氣管偏移、橫膈下移或 deep sulcus sign。
  2. Pathophysiology:單向瓣膜效應→胸腔正壓↑→靜脈回流↓→低血壓與缺氧。
  3. 急救流程(ATLS):任何懷疑張力性氣胸→立即針減壓→胸管置入,不等待進一步影像。
  4. 胸管位置與尺寸:前腋線第 4–5 肋間、成人創傷建議 28–32 Fr。
  5. 延遲治療風險:呼吸/循環衰竭、心搏停止。熟記「減壓優先於診斷」的救命原則。

臨床重要性

急診或現場醫護必須能迅速辨識張力性氣胸並立即行針減壓或胸管置入,以降低院前及院內死亡率。此題提醒:影像辨識及處置時效性直接影響患者生命安全。