113年:專師內科
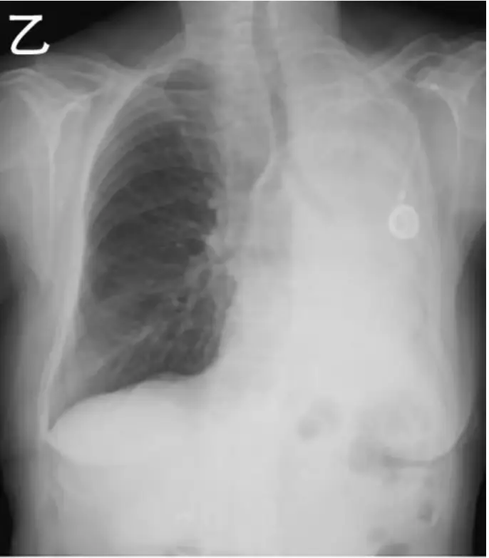
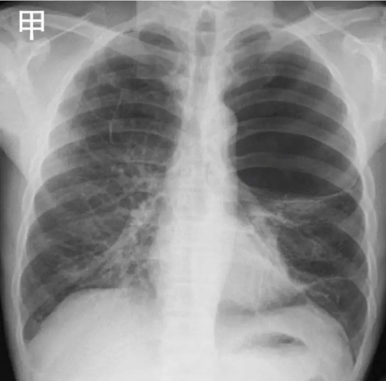
甲、乙兩位病人都主訴呼吸喘及左胸不適,胸部 X 光檢查如圖 (九)。關於是否適合進行左胸胸管引流做為緩解病人症狀的處置決策,下列何者最適當?
A甲、乙皆適合
B甲適合、乙不適合
C甲不適合、乙適合
D甲、乙皆不適合
詳細解析
本題觀念
探討胸管引流的適應症:胸管主要用於移除胸膜腔內的空氣(pneumothorax)或液體(pleural effusion),並恢復胸膜下的負壓;若病變位於肺實質內(如巨大肺泡、肺不張),胸管無法處理,也可能造成併發症(thoracickey.com)。
影像分析
- 甲:左上肺野可見大片透亮區域,邊緣內緣有薄壁狀結構,佔據左上肺超過三分之一,肺泡紋理在其餘肺野維持可見,心膈線及縱隔未顯著偏移,符合giant pulmonary bulla的表現。
- 乙:左側幾近全肺呈高密度陰影,左側氣管與心膈向同側偏移,顯示左肺組織體積明顯減少,為左側complete atelectasis(肺不張)所致,並非胸膜腔積氣或積液。
選項分析
- 選項A(甲、乙皆適合):錯誤。甲為肺實質內巨大肺泡,非胸膜腔積氣;乙為肺不張,非需胸管處理之胸膜腔病變。
- 選項B(甲適合、乙不適合):錯誤。甲不符胸管適應症。
- 選項C(甲不適合、乙適合):錯誤。乙為肺不張,胸管無助恢復肺擴張。
- 選項D(甲、乙皆不適合):正確。兩者病變均不在胸膜腔中,無法藉胸管緩解。
答案解析
甲例為giant pulmona
...(解析預覽)...

升級 VIP 解鎖圖文解析